пн-пт: 8:00-20:00
сб-вс: 09:00-20:00
г. Бишкек, Пр. Манаса 8 (пересекает ул. Боконбаева)
пн-пт: 8:00-20:00
сб-вс: 09:00-20:00
simpladentkg@gmail.com

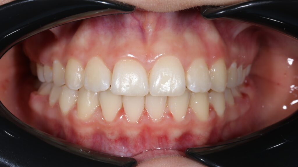
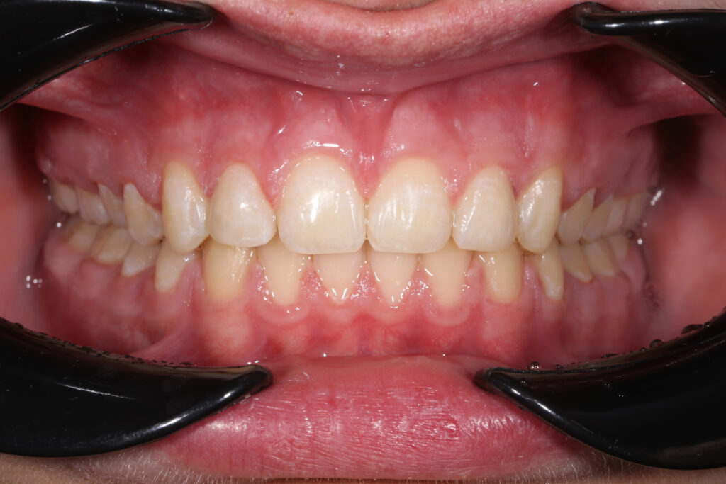
наши работы

Лучше один раз увидеть, чем сто раз прочитать, какие сильные специалисты работают над сложнейшими случаями пациентов. Наши врачи не бояться браться за задачи со звёздочкой. Результаты их работы вы можете наблюдать в примерах ниже.
Все работы
  • Все работы
  • Имплантация
  • Протезирование
  • Ортодонтия
Комплексная имплантация по протоколу All-on-6 / All-on-4 — полное восстановление зубов верхней и нижней челюсти
Имплантация
Полное восстановление зубов верхней и нижней челюсти All-on-6 / All-on-4
Имплантация и полная эстетическая реабилитация зоны улыбки
Имплантация
Имплантация и полная эстетическая реабилитация зоны улыбки
Комплексное лечение: ортодонтия, имплантация и протезирование.
Имплантация
Комплексное лечение: ортодонтия, имплантация и протезирование.
Одномоментная имплантация Megagen
Имплантация
Одномоментная имплантация Megagen
Протезирование на имплантатах Megagen Anyone
Имплантация
Протезирование на имплантатах Megagen Anyone
Установка постоянных циркониевых протезов после имплантации All-on-6
Протезирование
Установка постоянных циркониевых протезов после имплантации All-on-6
Комплексная имплантация по протоколу All-on-6 / All-on-4 — полное восстановление зубов верхней и нижней челюсти
Имплантация
Полное восстановление зубов верхней и нижней челюсти All-on-6 / All-on-4
Имплантация и полная эстетическая реабилитация зоны улыбки
Имплантация
Имплантация и полная эстетическая реабилитация зоны улыбки
Комплексное лечение: ортодонтия, имплантация и протезирование.
Имплантация
Комплексное лечение: ортодонтия, имплантация и протезирование.
Имплантация по системе All-on-6 + имплантаты Megagen AnyOne
Имплантация
Имплантация по системе All-on-6 (имплантаты Megagen AnyOne)
Комплексная имплантация по системе All-on-4 + 4 имплантата Megagen AnyOne
Имплантация
Комплексная имплантация по системе All-on-4 (Megagen AnyOne)
комплексная имплантация по системе All-on-5
Имплантация
Комплексная имплантация по системе All-on-5
Установка постоянных циркониевых протезов после имплантации All-on-6
Протезирование
Установка постоянных циркониевых протезов после имплантации All-on-6
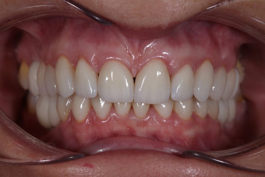
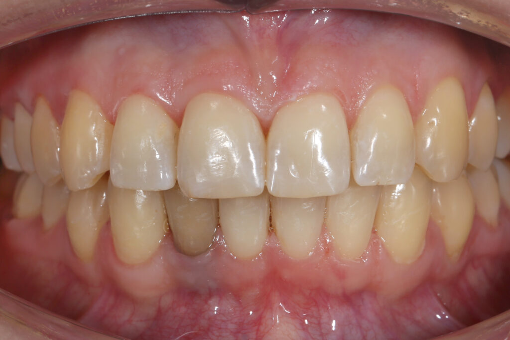
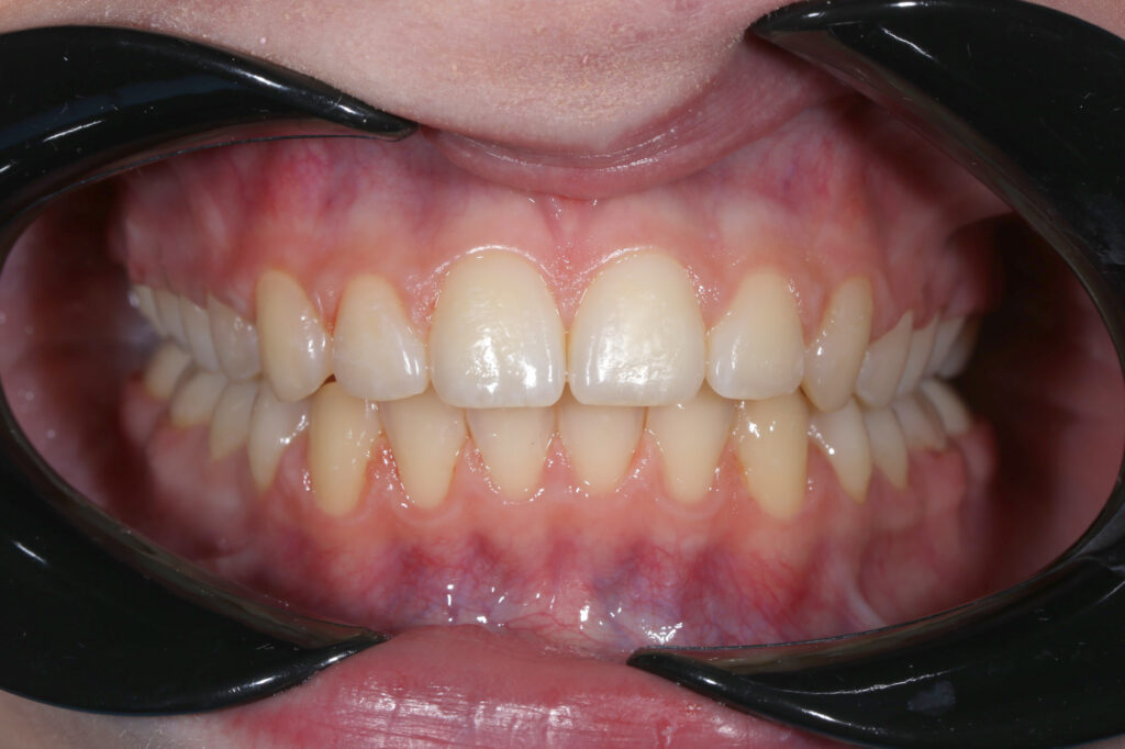
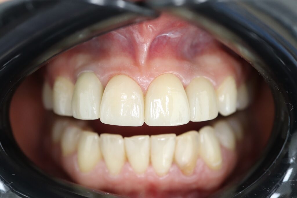
Керамические коронки E.max для коррекции формы и промежутков между зубами
Протезирование
Керамические коронки E.max для коррекции формы и промежутков между зубами
Комплексная имплантация по протоколу All-on-6 / All-on-4 — полное восстановление зубов верхней и нижней челюсти
Имплантация
Полное восстановление зубов верхней и нижней челюсти All-on-6 / All-on-4
Диоксид циркония на 6ти Megagen AnyOne
Имплантация
Диоксид циркония на 6ти Megagen AnyOne
Мост из диоксида циркония на винтовой фиксации с опорой на 2 имплантата Mis Seven.
Протезирование
Мост из диоксида циркония на винтовой фиксации с опорой на 2 имплантата Mis Seven
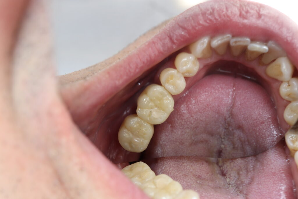
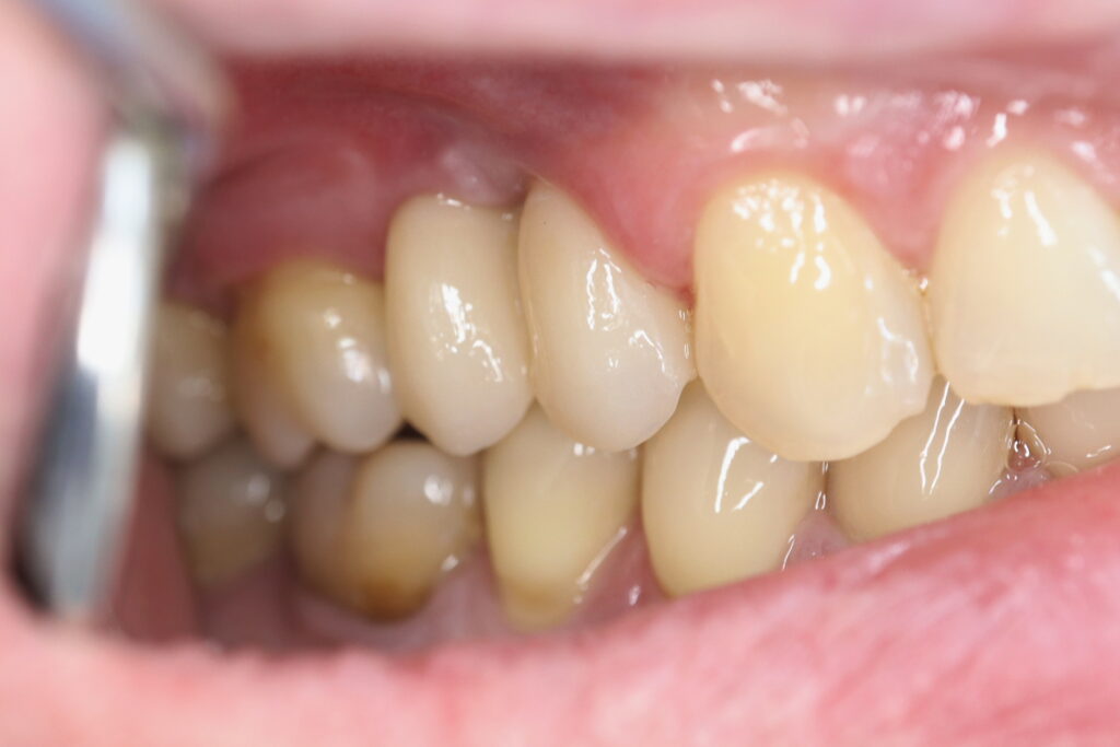
Протезирование коронками из диоксида циркония на своих зубах
Протезирование
Протезирование коронками из диоксида циркония на своих зубах
Комплексное лечение: ортодонтия, имплантация и протезирование.
Имплантация
Комплексное лечение: ортодонтия, имплантация и протезирование.
Установка брекет-системы Damon Q на обе челюсти
Ортодонтия
Установка брекет-системы Damon Q на обе челюсти
Установка брекет-системы Damon Q
Ортодонтия
Установка брекет-системы Damon Q
Ортодонтическое лечение перед тотальным протезированием
Ортодонтия
Ортодонтическое лечение перед тотальным протезированием
Ортодонтическое лечение брекетами
Ортодонтия
Ортодонтическое лечение брекетами
Ортодонтическое лечение самолигирующей брекет-системой Damon Q
Ортодонтия
Ортодонтическое лечение самолигирующей брекет-системой Damon Q
запись в стоматологию в Бишкеке
запись на приём
Оставьте заявку на обратный звонок,
и мы свяжемся с вами в течение 10 минут
запись в стоматологию в Бишкеке
Ваше Имя
Поле является обязательным
Телефон
Поле является обязательным