пн-пт: 8:00-20:00
сб-вс: 09:00-20:00
г. Бишкек, Пр. Манаса 8 (пересекает ул. Боконбаева)

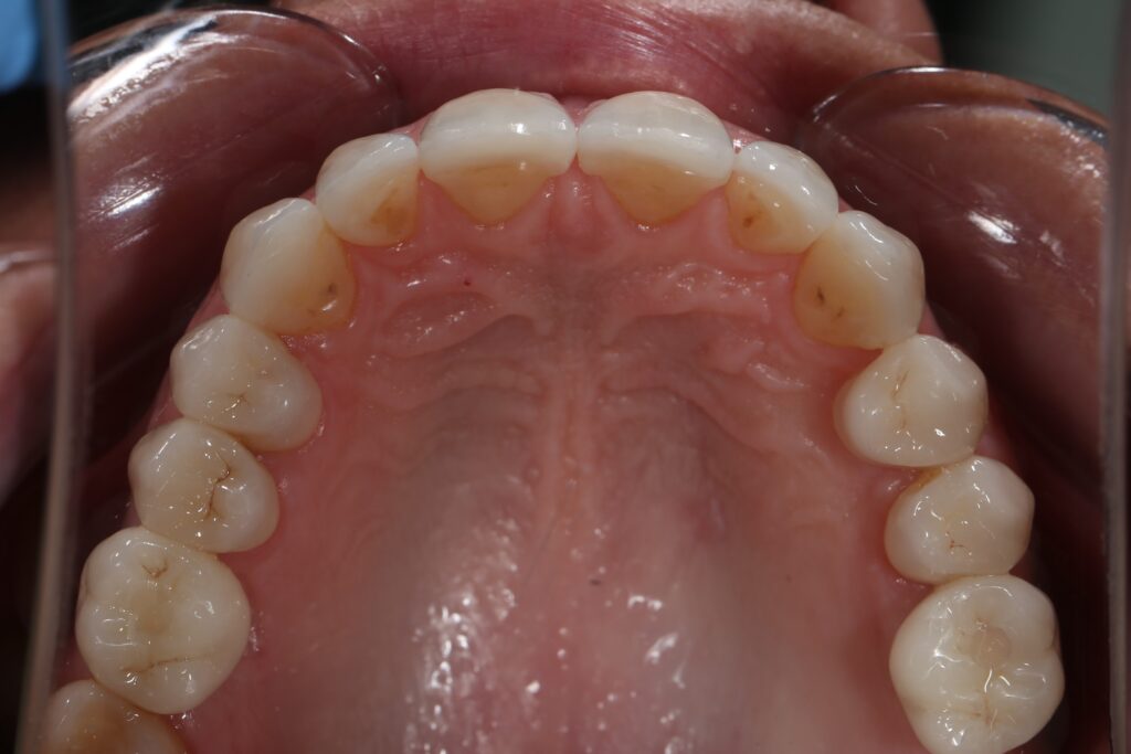
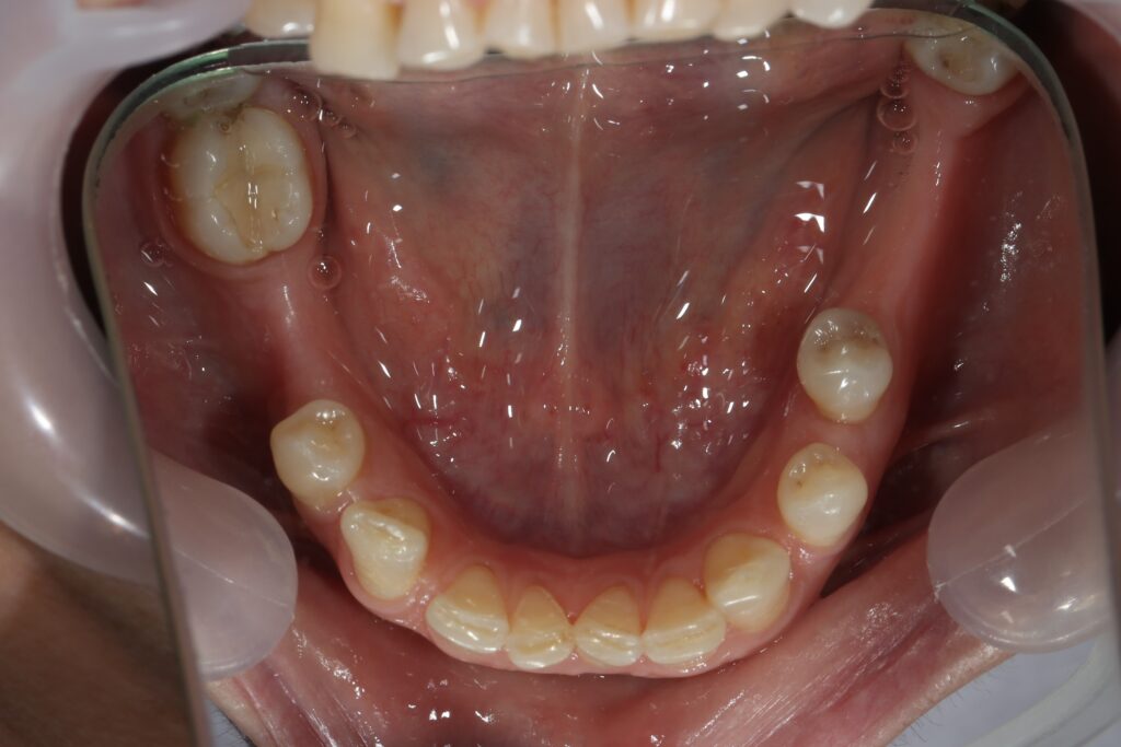
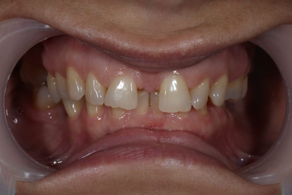
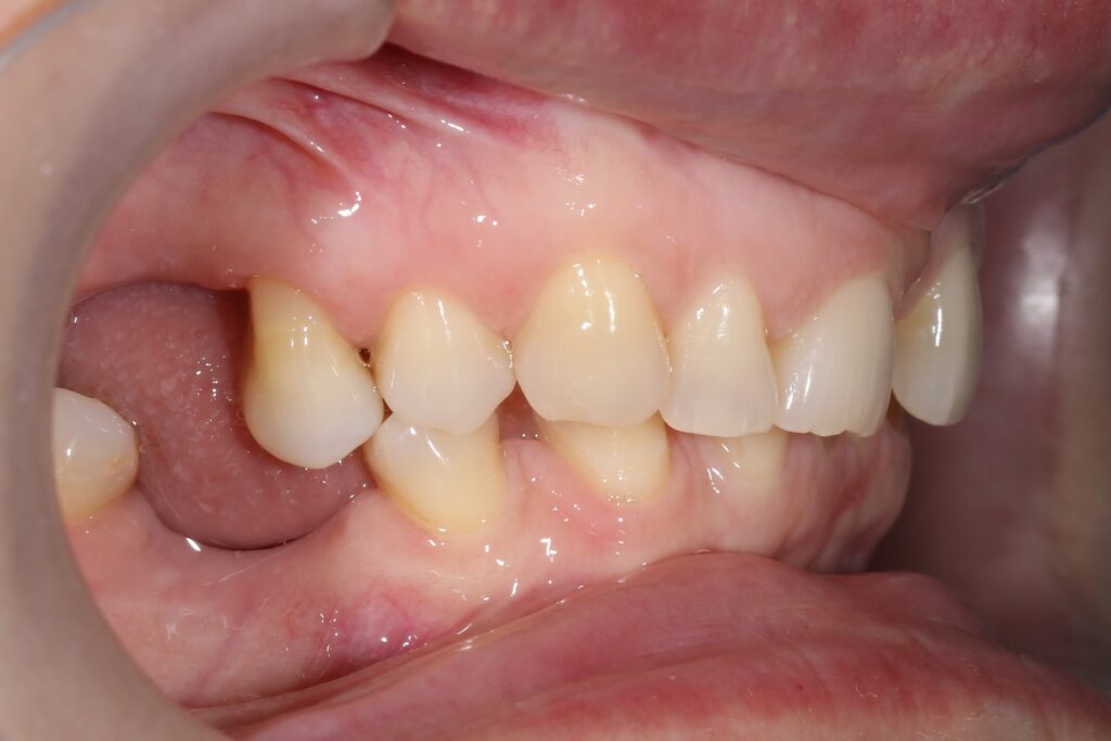
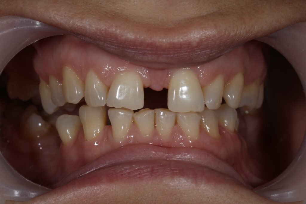
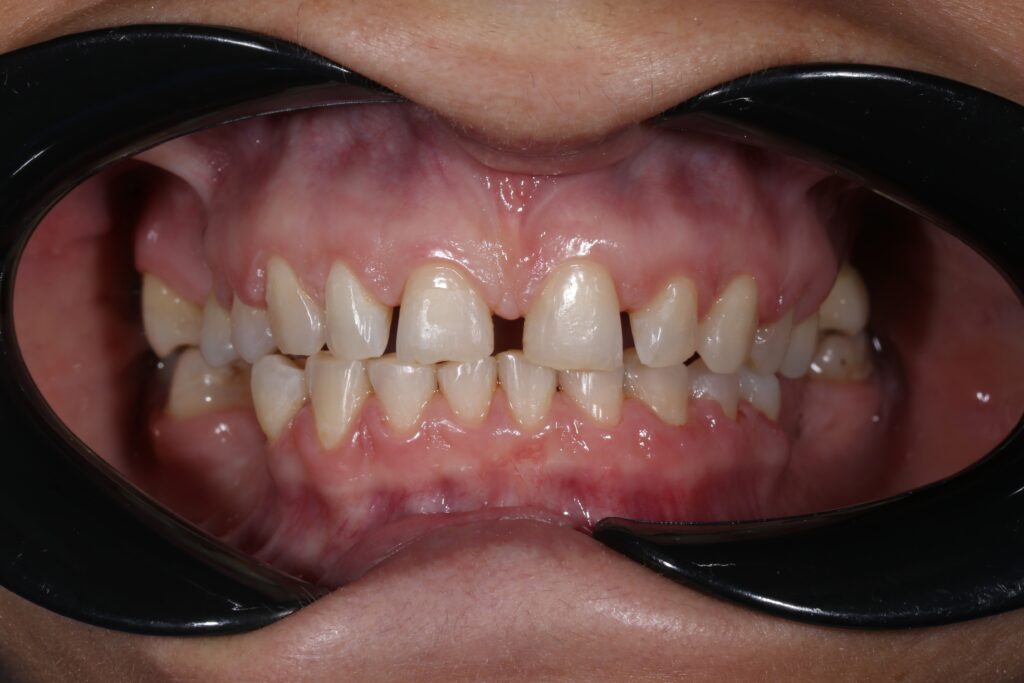
Ситуация до лечения

Пациент обратился за комплексным лечением.

Из-за множественных давних удалений жевательных зубов, произошла деформация зубных рядов, зубы разъехались в область удаленных, что затрудняло протезирование в момент обращения к ортопеду.

Так же можно отметить сильное снижение высоты прикуса (верхние зубы на 100% перекрывали нижние, что вызывало хроническую травму десны), а также повышенную стираемость твердых тканей зубов, что является следствием повышенной нагрузки, которую много лет испытывали передние зубы, в связи с отсутствием жевательных зубов.
В связи со всеми вышеперечисленными факторами, пациентка нуждалась в тотальной реабилитации.

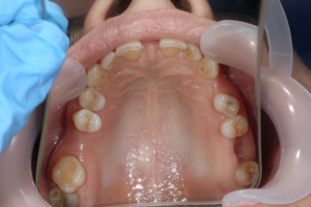
Ситуация до лечения
Ситуация до лечения
Ситуация до лечения
Ситуация до лечения
Ситуация до лечения
Ситуация до лечения

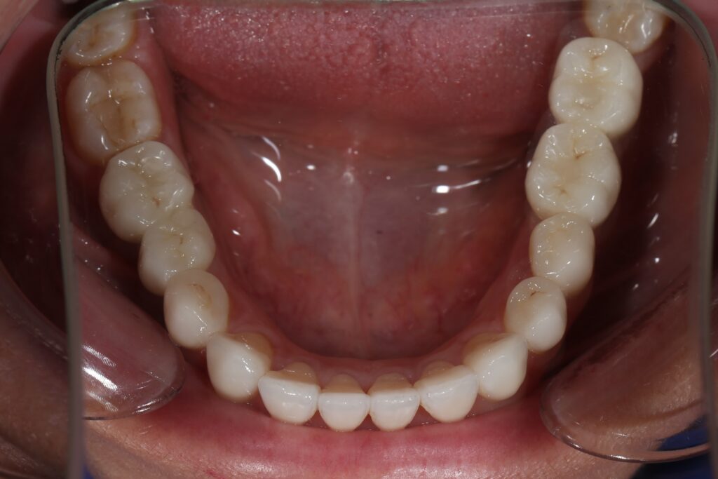
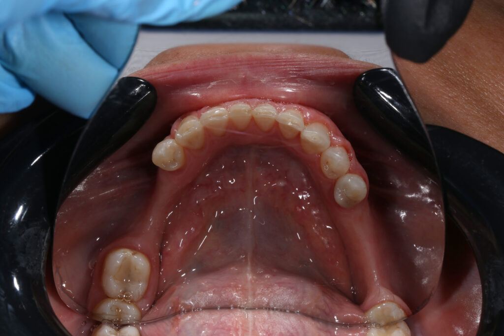
Результаты ортодонтической части

Была установлена брекет-система Damon Q. Срок лечения брекетами составил 11 месяцев.

Результаты ортодонтической части
Результаты ортодонтической части
Результаты ортодонтической части
Результаты ортодонтической части
Результаты ортодонтической части

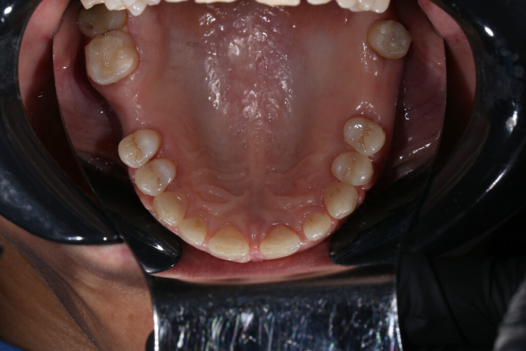
Этап имплантации и протезирования и результаты

Затем были установлены имплантаты Megagen AnyOne.

Спустя 3 месяца после установки имплантатов была произведена замена несостоятельных реставраций и пломб для избежания развития вторичного кариеса под винирами и коронками.
Сделано препарирование зубов на верхней и нижней челюстях с контролем глубины (0.7-0.8 мм) под керамические реставрации. Сняты оттиски с имплантатов.

Установлены временные виниры и коронки из пластика. Спустя 26 дней были зафиксированы керамические виниры и коронки на своих зубах и циркониевые коронки на имплантатах.

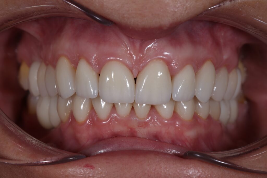
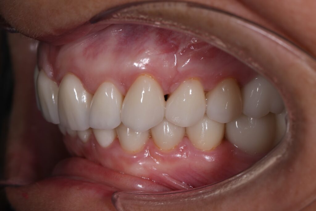
Результаты
Результаты
Результаты
Результаты
Результаты

работы врача

больше примеров
реставрации Emax Press цвета Bleach 3 с натуральной  анатомией, созданной на компьютере
Протезирование
Реставрация Emax Press цвета Bleach 3 с натуральной анатомией, созданной на компьютере
Комбинированное протезирование коронками на имплантатах
Протезирование
Комбинированное протезирование коронками на имплантатах
Протезирование двух центральных резцов циркониевыми коронками
Протезирование
Протезирование двух центральных резцов циркониевыми коронками
запись в стоматологию в Бишкеке
запись на приём
Оставьте заявку на обратный звонок,
и мы свяжемся с вами в течение 10 минут
запись в стоматологию в Бишкеке
Ваше Имя
Поле является обязательным
Телефон
Поле является обязательным
уже проходили лечение в нашей стоматологии?
 стоматологическая клиника
Пожалуйста, оставьте отзыв о своих впечатлениях. Это очень важно для нас!
Оставить отзыв
Ваша обратная связь поможет нашим будущим пациентам определиться с выбором специалиста и метода лечения
Ваше Имя
Поле является обязательным
Телефон
Поле является обязательным
На сколько звёзд Вы оцениваете стоматологию?
Поле является обязательным
Ваш отзыв
Не более 500 символов
Поле является обязательным