пн-пт: 8:00-20:00
сб-вс: 09:00-20:00
г. Бишкек, Пр. Манаса 8 (пересекает ул. Боконбаева)

Процесс работы

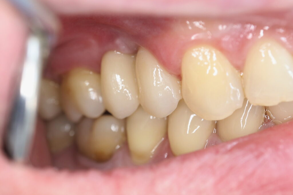
На консультации было принято решение о перепротезировании протезом из диоксида циркония на титановой балке.

Спустя 27 дней был зафиксирован протез с опопрой на дентальные имплантаты из диоксида циркония с каркасом из титана.

Также на нижнюю челюсть был изготовлен мостовидный протез из 4х коронок (цирконий) с опорой на 3 индивидуальных абатмента с одной стороны и 1 коронка на иплантат с другой.

процесс имплантации
процесс имплантации
процесс имплантации
процесс имплантации
процесс имплантации
процесс имплантации
процесс имплантации
процесс имплантации
процесс имплантации
процесс имплантации
процесс имплантации
Это фото может содержать тяжелый для восприятия контент
процесс имплантации
Это фото может содержать тяжелый для восприятия контент

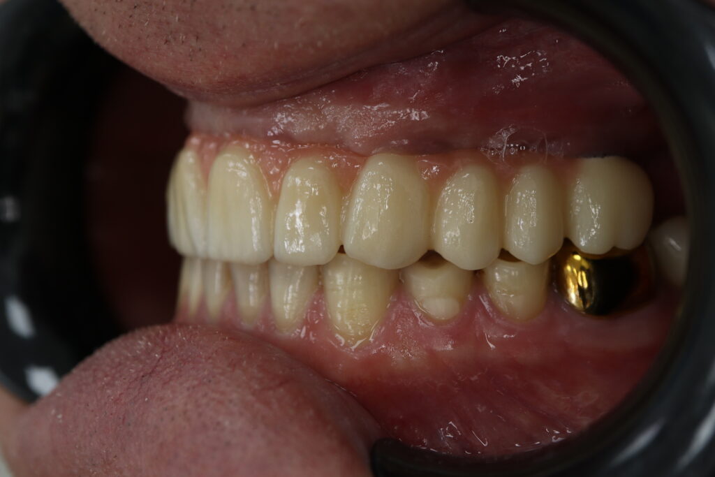
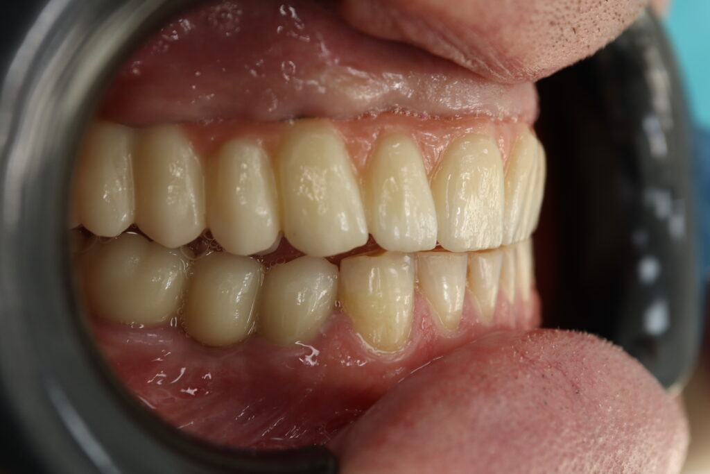
Результат

Пациенту были установлены 6 имплантатов Megagen AnyOne по системе All-on-6 на верхней челюсти и 4 имплантата на нижней по классической двухэтапной методике.

Стоимость всего комплекса: 9000 USD (цена указана ориентировочно по курсу НБРБ на день оплаты)

результат имплантации Megagen Anyone
результат имплантации Megagen Anyone
результат имплантации Megagen Anyone
результат имплантации Megagen Anyone
результат имплантации Megagen Anyone
результат имплантации Megagen Anyone
результат имплантации Megagen Anyone
результат имплантации Megagen Anyone
результат имплантации Megagen Anyone
результат имплантации Megagen Anyone
результат имплантации Megagen Anyone

работы врача

больше примеров
Диоксид циркония на 6ти Megagen AnyOne
Имплантация
Диоксид циркония на 6ти Megagen AnyOne
Протез из диоксида циркония на 6ти имплантатах
Протезирование
Протез из диоксида циркония на 6ти имплантатах
Протезирование мостом из диоксида циркония на винтовой фиксации с опорой на 2 имплантата Megagen AnyOne
Протезирование
Протезирование мостом из диоксида циркония с опорой на 2 имплантата Megagen AnyOne
Реставрации Emax Press цвета A1
Протезирование
Тотальное протезирование керамическими винирами и коронками
запись в стоматологию в Бишкеке
запись на приём
Оставьте заявку на обратный звонок,
и мы свяжемся с вами в течение 10 минут
запись в стоматологию в Бишкеке
Ваше Имя
Поле является обязательным
Телефон
Поле является обязательным
уже проходили лечение в нашей стоматологии?
 стоматологическая клиника
Пожалуйста, оставьте отзыв о своих впечатлениях. Это очень важно для нас!
Оставить отзыв
Ваша обратная связь поможет нашим будущим пациентам определиться с выбором специалиста и метода лечения
Ваше Имя
Поле является обязательным
Телефон
Поле является обязательным
На сколько звёзд Вы оцениваете стоматологию?
Поле является обязательным
Ваш отзыв
Не более 500 символов
Поле является обязательным