пн-пт: 8:00-20:00
сб-вс: 09:00-20:00
г. Бишкек, Пр. Манаса 8 (пересекает ул. Боконбаева)

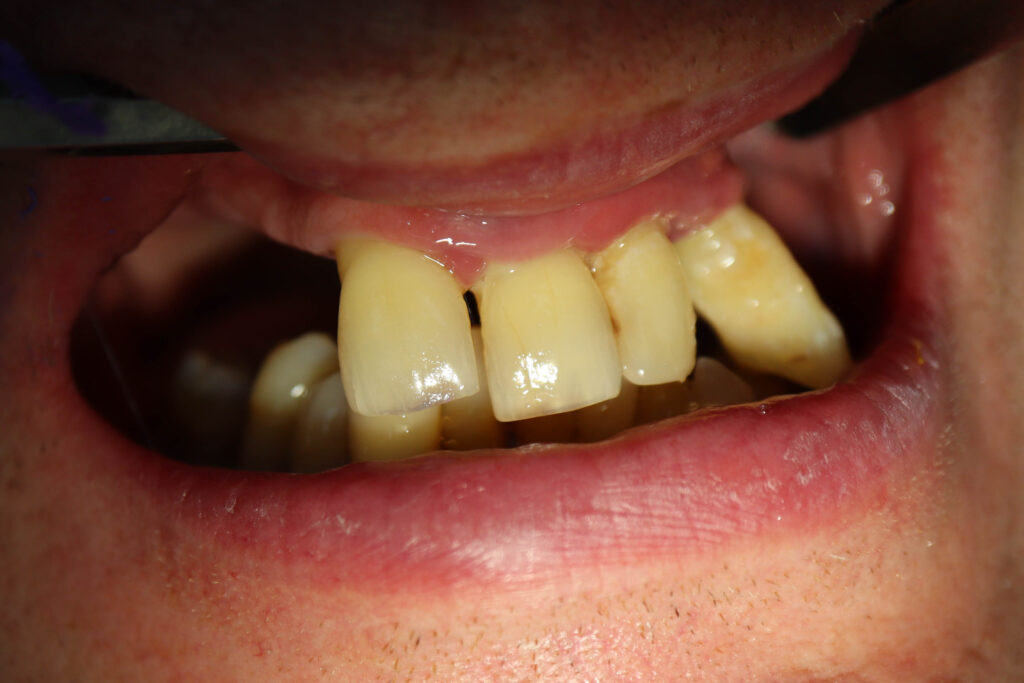
Ситуация до лечения

Пациент обратился с жалобами на эстетические недостатки.

Ситуация до лечения
Ситуация до лечения
Ситуация до лечения

Процесс работы

Что было сделано:

На верхней челюсти была проведена комплексная имплантация по системе All-on-5,
установлены 3 имплантата Megagen AnyOne и 2 скуловых имплантата NeoDent.
На нижней челюсти были установлены 4 имплантата Megagen AnyOne.
Спустя 7 дней на верхней и нижней челюстях зафиксированы металлоакриловые протезы из 12 зубов.

процесс имплантации
Это фото может содержать тяжелый для восприятия контент
процесс имплантации
Это фото может содержать тяжелый для восприятия контент
процесс имплантации
Это фото может содержать тяжелый для восприятия контент
процесс имплантации
процесс имплантации
Это фото может содержать тяжелый для восприятия контент

Результат

 

Результат имплантации
Результат имплантации
Результат имплантации
снимок

работы врача

больше примеров
ALT
Имплантация
Комплексная скуловая имплантация по системе All-on-6 (Megagen AnyOne и NeoDent)
Имплантация All on 6 MegaGen
Имплантация
Комплексная имплантация All-on-6 (Megagen AnyRidge)
запись в стоматологию в Бишкеке
запись на приём
Оставьте заявку на обратный звонок,
и мы свяжемся с вами в течение 10 минут
запись в стоматологию в Бишкеке
Ваше Имя
Поле является обязательным
Телефон
Поле является обязательным
уже проходили лечение в нашей стоматологии?
 стоматологическая клиника
Пожалуйста, оставьте отзыв о своих впечатлениях. Это очень важно для нас!
Оставить отзыв
Ваша обратная связь поможет нашим будущим пациентам определиться с выбором специалиста и метода лечения
Ваше Имя
Поле является обязательным
Телефон
Поле является обязательным
На сколько звёзд Вы оцениваете стоматологию?
Поле является обязательным
Ваш отзыв
Не более 500 символов
Поле является обязательным