пн-пт: 8:00-20:00
сб-вс: 09:00-20:00
г. Бишкек, Пр. Манаса 8 (пересекает ул. Боконбаева)

Ситуация до лечения

Жалобы: Пациент обратился с жалобами на эстетические и функциональные недостатки с целью протезирования на установленных ранее имплантатах.

 

Диагноз: Частичная вторичная адентия

пациент до протезирования

Процесс работы

Процесс: Доктором были сняты оттиски на имплантатах при помощи трансферов для системы имплантатов Megagen AnyOne.

 

В зуботехничекой лаборатории отлиты слепки, установлены аналоги имплантатов. Слепки отсканированы на 3D сканере для последующей цифровой моделировки будущего моста.

 

После мост был выфрезерован, техник нанес керамическую массу и воссоздал естественную анатомию жевательных зубов цвета А2.

процесс протезирования
процесс протезирования

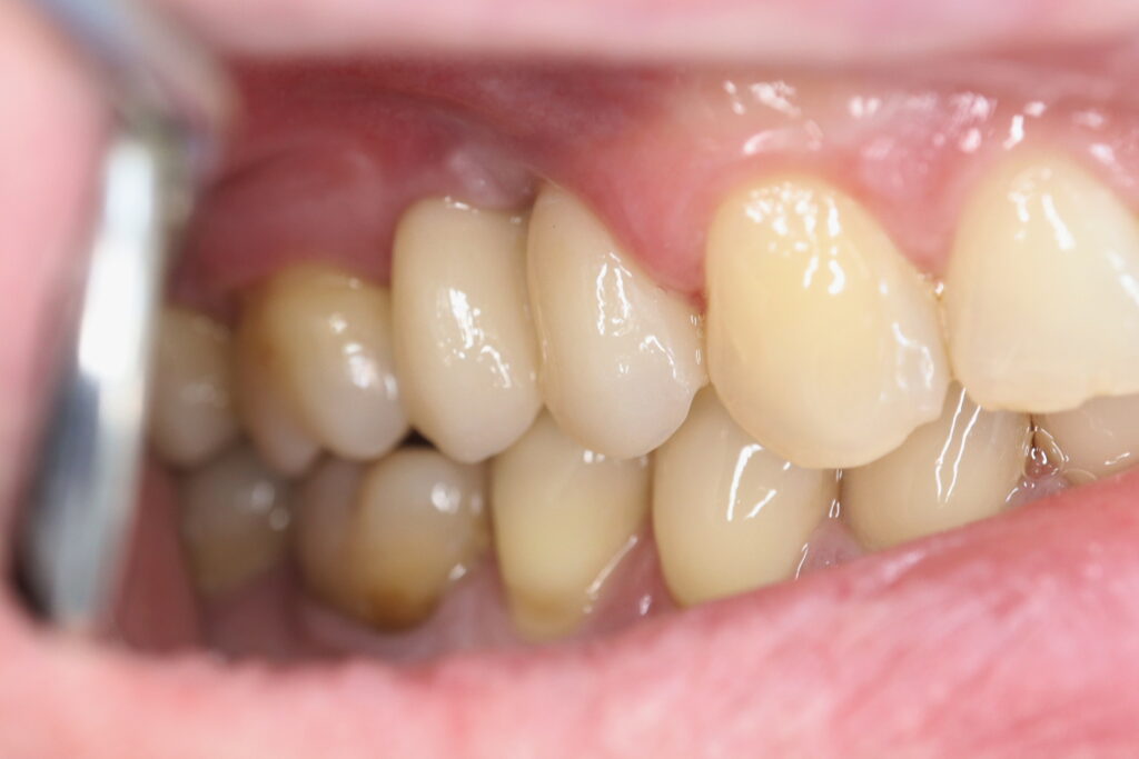
Результат

Результат: На верхней челюсти спустя 6 дней зафиксирован мост из диоксида циркония с винтовой фиксацией. Шахты закрыты композитным материалом.

 

Стоимость: 680 USD (цена указана ориентировочно по курсу НБРБ на день оплаты)

результат
результат

работы врача

больше примеров
Протезирование мостом из диоксида циркония на винтовой фиксации с опорой на 3 имплантата Mis C1
Протезирование
Протезирование мостом из диоксида циркония на винтовой фиксации с опорой на 3 имплантата Mis C1
Протезирование коронками из диоксида циркония на своих зубах
Протезирование
Протезирование коронками из диоксида циркония на своих зубах
Мост из диоксида циркония на винтовой фиксации с опорой на 2 имплантата Mis Seven.
Протезирование
Мост из диоксида циркония на винтовой фиксации с опорой на 2 имплантата Mis Seven
запись в стоматологию в Бишкеке
запись на приём
Оставьте заявку на обратный звонок,
и мы свяжемся с вами в течение 10 минут
запись в стоматологию в Бишкеке
Ваше Имя
Поле является обязательным
Телефон
Поле является обязательным
уже проходили лечение в нашей стоматологии?
 стоматологическая клиника
Пожалуйста, оставьте отзыв о своих впечатлениях. Это очень важно для нас!
Оставить отзыв
Ваша обратная связь поможет нашим будущим пациентам определиться с выбором специалиста и метода лечения
Ваше Имя
Поле является обязательным
Телефон
Поле является обязательным
На сколько звёзд Вы оцениваете стоматологию?
Поле является обязательным
Ваш отзыв
Не более 500 символов
Поле является обязательным