пн-пт: 8:00-20:00
сб-вс: 09:00-20:00
г. Бишкек, Пр. Манаса 8 (пересекает ул. Боконбаева)

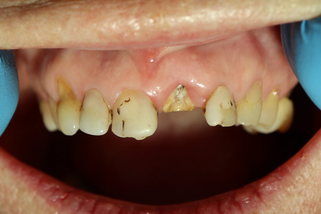
Ситуация до лечения

Жалобы: Пациент обратился с продольным переломом верхнего резца.
Диагноз: Перелом зуба

пациент до имплантации
пациент до имплантации

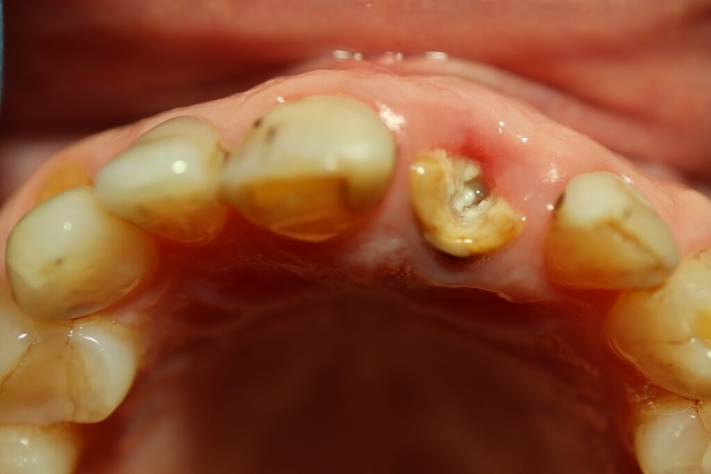
Процесс работы

Что было сделано:

За одно посещение был удален зуб 2.1, установлен имплантат Megagen AnyOne, изготовлена временная коронка.

одномоментная имплантация
Это фото может содержать тяжелый для восприятия контент
одномоментная имплантация
Это фото может содержать тяжелый для восприятия контент
одномоментная имплантация
Это фото может содержать тяжелый для восприятия контент

Результаты

Стоимость всего комплекса: 550 USD (цена указана ориентировочно по курсу НБРБ на день оплаты)

результат имплантации

работы врача

больше примеров
Одномоментная имплантация Megagen AnyOne
Имплантация
Одномоментная имплантация Megagen AnyOne
Тотальная имплантация (Megagen Anyone)
Имплантация
Тотальная имплантация (Megagen Anyone)
Имплантация All on 6 MegaGen
Имплантация
Комплексная имплантация All-on-6 (Megagen AnyRidge)
Имплантация Megagen Anyone + установка керамических виниров и коронок
Имплантация
Имплантация Megagen Anyone и установка керамических виниров и коронок
запись в стоматологию в Бишкеке
запись на приём
Оставьте заявку на обратный звонок,
и мы свяжемся с вами в течение 10 минут
запись в стоматологию в Бишкеке
Ваше Имя
Поле является обязательным
Телефон
Поле является обязательным
уже проходили лечение в нашей стоматологии?
 стоматологическая клиника
Пожалуйста, оставьте отзыв о своих впечатлениях. Это очень важно для нас!
Оставить отзыв
Ваша обратная связь поможет нашим будущим пациентам определиться с выбором специалиста и метода лечения
Ваше Имя
Поле является обязательным
Телефон
Поле является обязательным
На сколько звёзд Вы оцениваете стоматологию?
Поле является обязательным
Ваш отзыв
Не более 500 символов
Поле является обязательным