пн-пт: 8:00-20:00
сб-вс: 09:00-20:00
г. Бишкек, Пр. Манаса 8 (пересекает ул. Боконбаева)

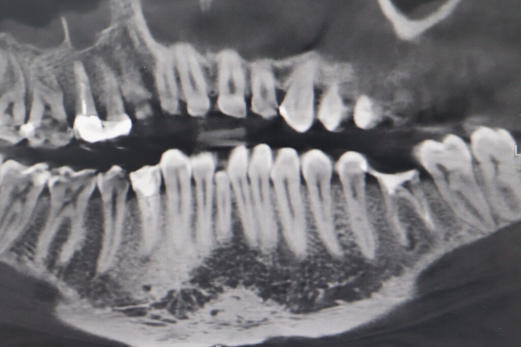
Ситуация до лечения

Жалобы: Пациент обратился с жалобами на воспаление в области зуба 3.6. После обсуждения плана лечения, пациентом было принято решение об имплантации.
Диагноз: Хроничекий апикальный периодонтит.

пациент до имплантации
пациент до имплантации

Процесс работы

Что было сделано:

За одно посещение был удален зуб 3.6 и установлен имплантат Megagen AnyOne, установлен формирователь десневой манжетки.

процедура имплантации
Это фото может содержать тяжелый для восприятия контент
процедура имплантации
Это фото может содержать тяжелый для восприятия контент
процедура имплантации
Это фото может содержать тяжелый для восприятия контент

Результаты

Стоимость работы: 550 USD (цена указана ориентировочно по курсу НБРБ на день оплаты)

результат одномоментной имплантации
результат одномоментной имплантации

работы врача

больше примеров
All-on-5 (Straumann BLT)
Имплантация
All-on-5 (Straumann BLT)
Имплантация Megagen Anyone + установка керамических виниров и коронок
Имплантация
Имплантация Megagen Anyone и установка керамических виниров и коронок
Имплантация по системе All-on-6 + 6 имплантатов Megagen AnyOne
Имплантация
Имплантация по системе All-on-6 (Megagen AnyOne)
Тотальная имплантация (Megagen Anyone)
Имплантация
Тотальная имплантация (Megagen Anyone)
запись в стоматологию в Бишкеке
запись на приём
Оставьте заявку на обратный звонок,
и мы свяжемся с вами в течение 10 минут
запись в стоматологию в Бишкеке
Ваше Имя
Поле является обязательным
Телефон
Поле является обязательным
уже проходили лечение в нашей стоматологии?
 стоматологическая клиника
Пожалуйста, оставьте отзыв о своих впечатлениях. Это очень важно для нас!
Оставить отзыв
Ваша обратная связь поможет нашим будущим пациентам определиться с выбором специалиста и метода лечения
Ваше Имя
Поле является обязательным
Телефон
Поле является обязательным
На сколько звёзд Вы оцениваете стоматологию?
Поле является обязательным
Ваш отзыв
Не более 500 символов
Поле является обязательным