пн-пт: 8:00-20:00
сб-вс: 09:00-20:00
г. Бишкек, Пр. Манаса 8 (пересекает ул. Боконбаева)

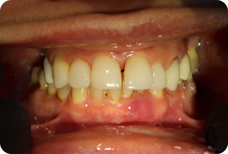
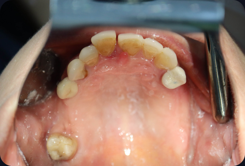
Ситуация до лечения

Пациент обратился с жалобами на эстетические недостатки.
Поставлен диагноз: частичная адентия.

ALT
ALT
Моляры на верхней челюсти отсутствуют

процесс работы

Что было сделано:

На верхней челюсти были удалены зубы, которые находились в неудовлетворительном состоянии, проведена комплексная имплантация по системе All-on-6, установлены 4 имплантата Megagen AnyOne и 2 скуловых имплантата NeoDent.

Спустя 7 дней на верхней челюсти зафиксирован металлоакриловый протез из 12 зубов.

ALT
Это фото может содержать тяжелый для восприятия контент
ALT
Фиксации имплантата внутри костной ткани (торк).
Это фото может содержать тяжелый для восприятия контент
процесс имплантации
Это фото может содержать тяжелый для восприятия контент
процесс имплантации
Это фото может содержать тяжелый для восприятия контент
процесс имплантации
Это фото может содержать тяжелый для восприятия контент
процесс имплантации
Это фото может содержать тяжелый для восприятия контент
процесс имплантации
Это фото может содержать тяжелый для восприятия контент
процесс имплантации
Это фото может содержать тяжелый для восприятия контент
процесс имплантации
Это фото может содержать тяжелый для восприятия контент
процесс имплантации
Это фото может содержать тяжелый для восприятия контент
процесс имплантации
Это фото может содержать тяжелый для восприятия контент

результаты

Стоимость всего комплекса:

5600 USD (цена указана ориентировочно по курсу НБРБ на день оплаты)

ALT
Установлен условно-съемый металлоакриловый протез на 12 зубов
ALT
Вид протеза сбоку
ALT
Установлен условно-съемый металлоакриловый протез на 12 зубов
снимок

работы врача

больше примеров
Имплантация All on 6 MegaGen
Имплантация
Комплексная имплантация All-on-6 (Megagen AnyRidge)
Имплантация по системе All-on-6 + 6 имплантатов Megagen AnyOne
Имплантация
Имплантация по системе All-on-6 (Megagen AnyOne)
запись в стоматологию в Бишкеке
запись на приём
Оставьте заявку на обратный звонок,
и мы свяжемся с вами в течение 10 минут
запись в стоматологию в Бишкеке
Ваше Имя
Поле является обязательным
Телефон
Поле является обязательным
уже проходили лечение в нашей стоматологии?
 стоматологическая клиника
Пожалуйста, оставьте отзыв о своих впечатлениях. Это очень важно для нас!
Оставить отзыв
Ваша обратная связь поможет нашим будущим пациентам определиться с выбором специалиста и метода лечения
Ваше Имя
Поле является обязательным
Телефон
Поле является обязательным
На сколько звёзд Вы оцениваете стоматологию?
Поле является обязательным
Ваш отзыв
Не более 500 символов
Поле является обязательным