пн-пт: 8:00-20:00
сб-вс: 09:00-20:00
г. Бишкек, Пр. Манаса 8 (пересекает ул. Боконбаева)

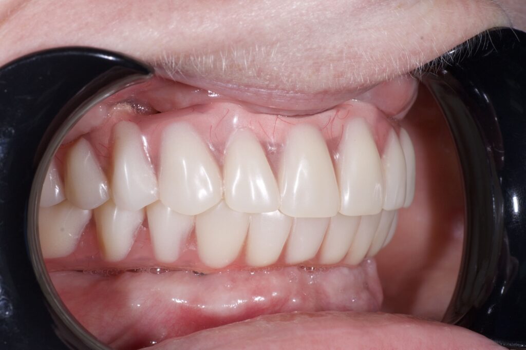
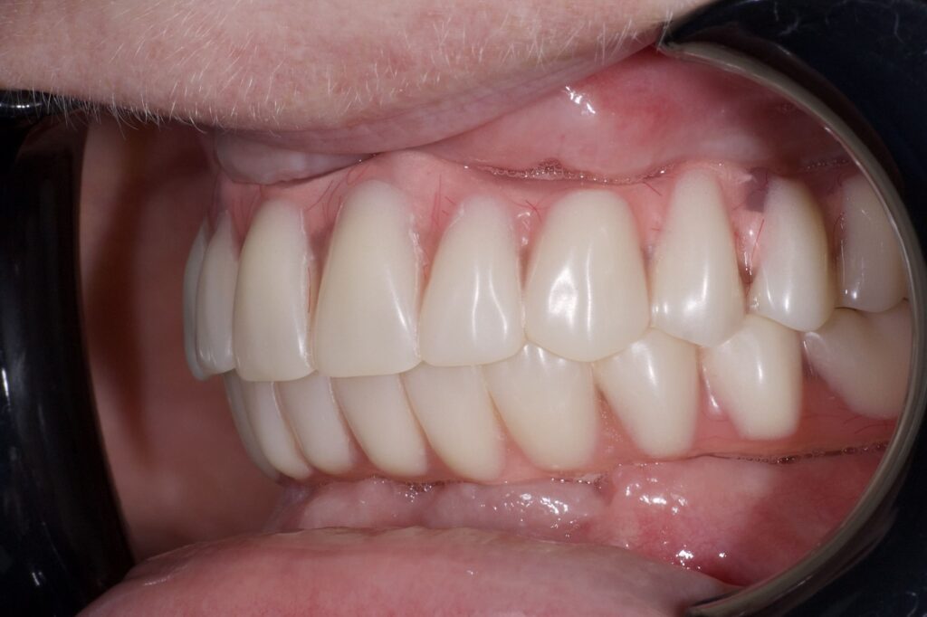
Результаты протезирования

Пациент обратился к нам с целью перепротезирования на постоянные протезы (комплексная имплантация по системе All-on-6 на обе челюсти была проведена в 2024г. специалистами нашей клиники).

По прошествию года было изготовлено 2 постоянных циркониевых протеза на титановой балке.

Стоимость всего комплекса:
6 847 USD (цена указана ориентировочно по курсу НБРБ на день оплаты)

результат протезирования
результат протезирования
результат протезирования
результат протезирования
результат протезирования

работы врача

больше примеров
6-ти дентальных имплантантах Megagen Anyone
Имплантация
Перепротезирование All-on-6 протезом из диоксида циркония
Протезирование керамическими коронками Emax
Протезирование
Протезирование керамическими коронками Emax
Протезирование на имплантатах Megagen Anyone
Имплантация
Протезирование на имплантатах Megagen Anyone
запись в стоматологию в Бишкеке
запись на приём
Оставьте заявку на обратный звонок,
и мы свяжемся с вами в течение 10 минут
запись в стоматологию в Бишкеке
Ваше Имя
Поле является обязательным
Телефон
Поле является обязательным
уже проходили лечение в нашей стоматологии?
 стоматологическая клиника
Пожалуйста, оставьте отзыв о своих впечатлениях. Это очень важно для нас!
Оставить отзыв
Ваша обратная связь поможет нашим будущим пациентам определиться с выбором специалиста и метода лечения
Ваше Имя
Поле является обязательным
Телефон
Поле является обязательным
На сколько звёзд Вы оцениваете стоматологию?
Поле является обязательным
Ваш отзыв
Не более 500 символов
Поле является обязательным