пн-пт: 8:00-20:00
сб-вс: 09:00-20:00
г. Бишкек, Пр. Манаса 8 (пересекает ул. Боконбаева)

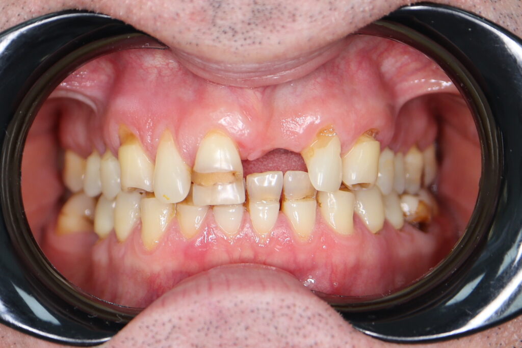
Ситуация до лечения

Пациент обратился с жалобами на эстетические недостатки.
Диагноз: Частичная адентия, клиновидные дефекты, гипоплазия эмали.

пациент до имплантации
пациент до имплантации
пациент до имплантации
пациент до имплантации

Процесс работы

Что было сделано:

Лечение состояло из двух этапов: хирургический и ортопедический. Длилось 4 месяца.

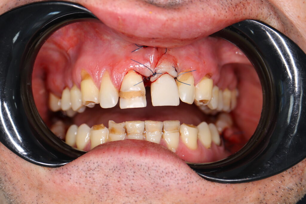
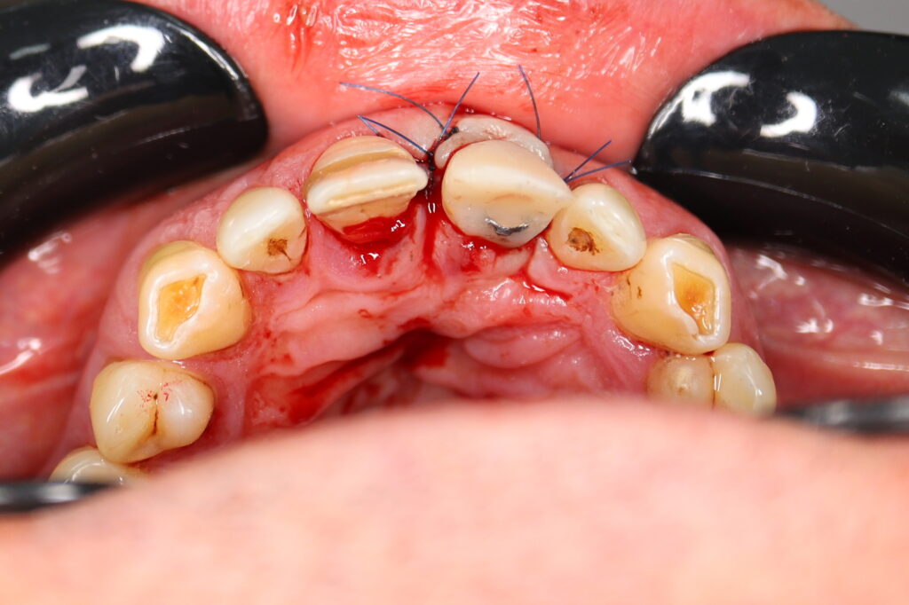
Были установлены 4 имплантата Straumann BLT. На верхней челюсти в области зуба 2.1 в одно посещение был установлен имплантат и изготовлена временная коронка.
Также в данной области выполнена пластика десны.
После приживления имплантатов пациент вернулся для обсуждения дизайна будущей улыбки и создания макета.
Выбор был сделан в пользу реставраций Emax Press на свои зубы и диоксида циркония на имплантаты цвета A1 с максимально натуралистичной анатомией, созданной вручную.
Сложность данного ортопедического лечения заключалась в наличии диастемы(щель между центральными резцами).
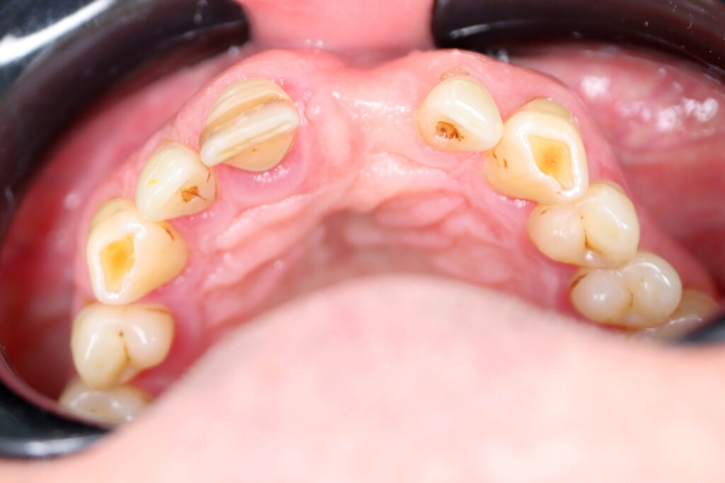
Произведено препарирование зубов на верхней и нижней челюстях с контролем глубины (0.7-0.8 мм) под керамические виниры и коронки. Сняты оттиски на своих зубах и имплантатах.
Установлены временные виниры и коронки из пластика.
Спустя 18 дней установлены керамические виниры и коронки, а также коронки из диоксида циркония с опорой на дентальные имплантаты Straumann BLT.

хирургический этап
Это фото может содержать тяжелый для восприятия контент
хирургический этап
Это фото может содержать тяжелый для восприятия контент
хирургический этап
Это фото может содержать тяжелый для восприятия контент
хирургический этап
Это фото может содержать тяжелый для восприятия контент
хирургический этап
Это фото может содержать тяжелый для восприятия контент

Результаты хирургического этапа

Стоимость импалнтации: 3050 USD (цена указана ориентировочно по курсу НБРБ на день оплаты)
Имплантация выполнена врачом-имплантологом высшей категории Белым Максимом Григорьевичем.

Результаты хирургического этапа
Результаты хирургического этапа
Результаты хирургического этапа
Результаты хирургического этапа
Результаты хирургического этапа
Результаты хирургического этапа

Результаты ортопедического этапа

Стоимость протезирования: 8800 USD (цена указана ориентировочно по курсу НБРБ на день оплаты)
Протезирование выполнено врачом-ортопедом Агаевым Самиром Вахидовичем.

результат протезирования
результат протезирования
результат протезирования
результат протезирования
результат протезирования
результат протезирования
результат протезирования

работы врача

больше примеров
реставрации Emax Press цвета Bleach 3 с натуральной  анатомией, созданной на компьютере
Протезирование
Реставрация Emax Press цвета Bleach 3 с натуральной анатомией, созданной на компьютере
All-on-4 (Megagen AnyOne)
Имплантация
All-on-4 (Megagen AnyOne)
Диоксид циркония на 6ти Megagen AnyOne
Имплантация
Диоксид циркония на 6ти Megagen AnyOne
Имплантация Megagen Anyone + установка керамических виниров и коронок
Имплантация
Имплантация Megagen Anyone и установка керамических виниров и коронок
Имплантация по системе All-on-6 + 6 имплантатов Megagen AnyOne
Имплантация
Имплантация по системе All-on-6 (Megagen AnyOne)
Имплантация по системе All-on-6 + имплантаты Megagen AnyOne
Имплантация
Имплантация по системе All-on-6 (имплантаты Megagen AnyOne)
запись в стоматологию в Бишкеке
запись на приём
Оставьте заявку на обратный звонок,
и мы свяжемся с вами в течение 10 минут
запись в стоматологию в Бишкеке
Ваше Имя
Поле является обязательным
Телефон
Поле является обязательным
уже проходили лечение в нашей стоматологии?
 стоматологическая клиника
Пожалуйста, оставьте отзыв о своих впечатлениях. Это очень важно для нас!
Оставить отзыв
Ваша обратная связь поможет нашим будущим пациентам определиться с выбором специалиста и метода лечения
Ваше Имя
Поле является обязательным
Телефон
Поле является обязательным
На сколько звёзд Вы оцениваете стоматологию?
Поле является обязательным
Ваш отзыв
Не более 500 символов
Поле является обязательным