пн-пт: 8:00-20:00
сб-вс: 09:00-20:00
г. Бишкек, Пр. Манаса 8 (пересекает ул. Боконбаева)

Ситуация до лечения

Жалобы: Пациент обратился к нам с целью проведения комплексной имплантации верхней челюсти.
Диагноз: Частичная вторичная адентия верхней челюсти.

пациент до протезирования
пациент до протезирования
пациент до протезирования

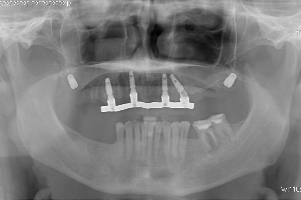
Процесс работы

После установки 6ти имплантантов Megagen Anyone, было принято решение зафиксировать металлоакриловый протез протез на 4 имплантата.
2 крайних имплантата, установленных в бугры, были ушиты с целью дальнейшего приживления. При постоянном протезирование протез будет зафиксирован на 6ти имплантатах.
Спустя 7 дней на верхней челюсти зафиксирован металлоакриловый протез из 12 зубов с опорой на 4 дентальные имплантата.

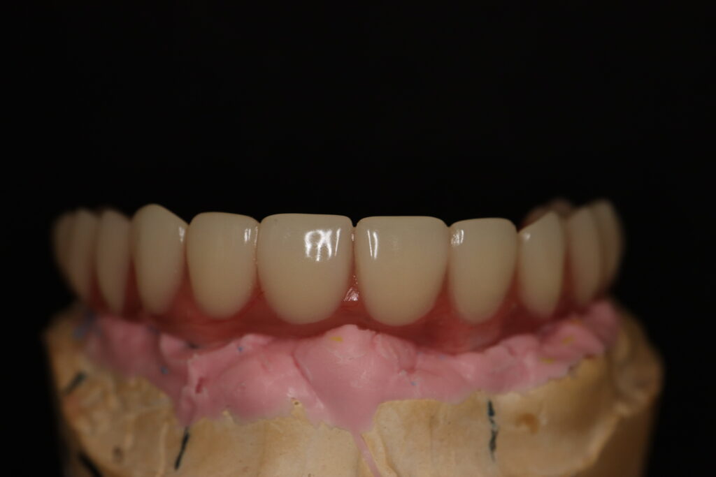
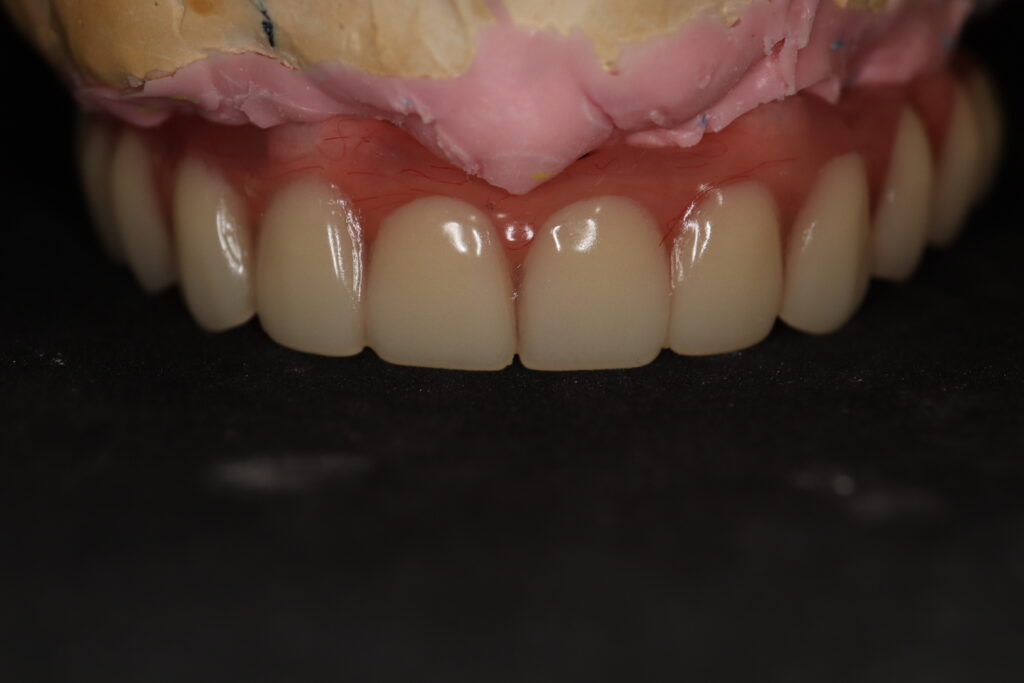
протез
протез

Результат

После консультации было принято решение об удалении зубов на верхней челюсти, которые находились в неудовлетворительном состоянии
и проведении комплексной имплантации по системе All-on-4.

Стоимость всего комплекса: 3500 USD (цена указана ориентировочно по курсу НБРБ на день оплаты)

результат протезирования
результат протезирования
результат протезирования
результат протезирования
результат протезирования
результат протезирования
результат протезирования
результат протезирования
результат протезирования

работы врача

больше примеров
All-on-4 и съёмный протез
Имплантация
All-on-4 и съёмный протез
Имплантация All on 6 MegaGen
Имплантация
Комплексная имплантация All-on-6 (Megagen AnyRidge)
Имплантация по системе All-on-6 + имплантаты Megagen AnyOne
Имплантация
Имплантация по системе All-on-6 (имплантаты Megagen AnyOne)
Комплексная имплантация по системе All-on-4 + 4 имплантата Megagen AnyOne
Имплантация
Комплексная имплантация по системе All-on-4 (Megagen AnyOne)
запись в стоматологию в Бишкеке
запись на приём
Оставьте заявку на обратный звонок,
и мы свяжемся с вами в течение 10 минут
запись в стоматологию в Бишкеке
Ваше Имя
Поле является обязательным
Телефон
Поле является обязательным
уже проходили лечение в нашей стоматологии?
 стоматологическая клиника
Пожалуйста, оставьте отзыв о своих впечатлениях. Это очень важно для нас!
Оставить отзыв
Ваша обратная связь поможет нашим будущим пациентам определиться с выбором специалиста и метода лечения
Ваше Имя
Поле является обязательным
Телефон
Поле является обязательным
На сколько звёзд Вы оцениваете стоматологию?
Поле является обязательным
Ваш отзыв
Не более 500 символов
Поле является обязательным