пн-пт: 8:00-20:00
сб-вс: 09:00-20:00
г. Бишкек, Пр. Манаса 8 (пересекает ул. Боконбаева)

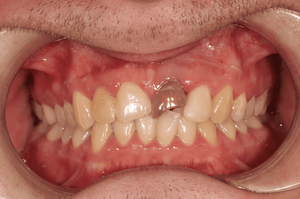
Ситуация до лечения

Пациент обратился с жалобой на эстетический дефект.

 

Лечение было начато с определения центрального соотношения челюстей, обсуждения работы.

 

На выбор пациенту было предложено 2 вариант, из Emax Press и диоксида циркония. Пациент остановился на диокиде циркония ввиду соотношения цена-качество.

пациент до протезирования
пациент до протезирования

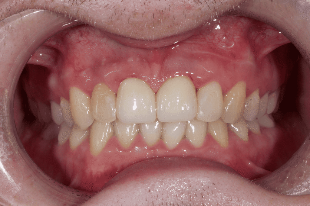
Этап протезирования и результаты

Что было сделано:

1 этап — сняты оттиски для моделировки двух фронтальных зубов.
2 этап — препарирование, и установка стекловолоконного штифта в зуб 21. (ранее был депульпирован) , изготовлены временные коронки.
3 этап — через 14 дней примерка, специальным составом обработаны коронки и произведена фиксация.

 

Выполненной работой пациент остался доволен! На фото результаты работы стоматолога-ортопеда Агаева СВ.

Стоимость лечения: 760 USD (цена указана ориентировочно по курсу НЦРБ на день оплаты)

 

Если вы хотите преобразить свою улыбку, записывайтесь на консультацию в директ или на сайте по ссылке в описании профиля.

результат протезирования
результат протезирования

Работы врача

больше примеров
реставрации Emax Press цвета Bleach 3 с натуральной  анатомией, созданной на компьютере
Протезирование
Реставрация Emax Press цвета Bleach 3 с натуральной анатомией, созданной на компьютере
Имплантация All-on-6 Megagen AnyRidge
Имплантация
Имплантация All-on-6 Megagen AnyRidge
Диоксид циркония на 6ти Megagen AnyOne
Имплантация
Диоксид циркония на 6ти Megagen AnyOne
запись в стоматологию в Бишкеке
запись на приём
Оставьте заявку на обратный звонок,
и мы свяжемся с вами в течение 10 минут
запись в стоматологию в Бишкеке
Ваше Имя
Поле является обязательным
Телефон
Поле является обязательным
уже проходили лечение в нашей стоматологии?
 стоматологическая клиника
Пожалуйста, оставьте отзыв о своих впечатлениях. Это очень важно для нас!
Оставить отзыв
Ваша обратная связь поможет нашим будущим пациентам определиться с выбором специалиста и метода лечения
Ваше Имя
Поле является обязательным
Телефон
Поле является обязательным
На сколько звёзд Вы оцениваете стоматологию?
Поле является обязательным
Ваш отзыв
Не более 500 символов
Поле является обязательным