пн-пт: 8:00-20:00
сб-вс: 09:00-20:00
г. Бишкек, Пр. Манаса 8 (пересекает ул. Боконбаева)

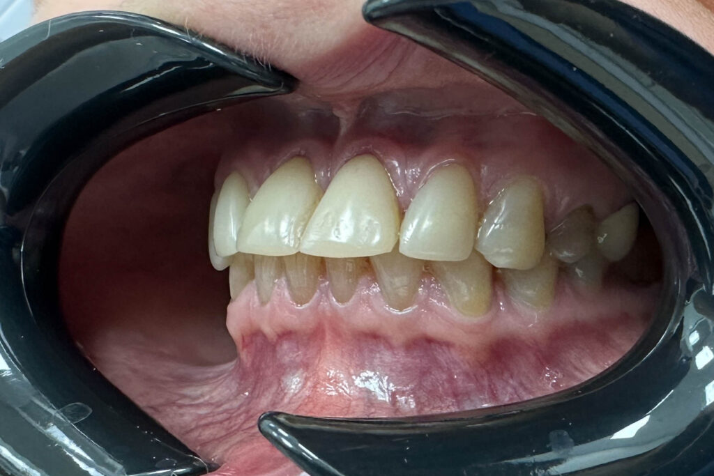
Ситуация до лечения

Пациент обратился с жалобами на эстетические недостатки.
Диагноз: повышенная стираемость зубов

Реставрации Emax Press цвета A1 ДО
Реставрации Emax Press цвета A1 ДО
Реставрации Emax Press цвета A1 ДО
Реставрации Emax Press цвета A1 ДО

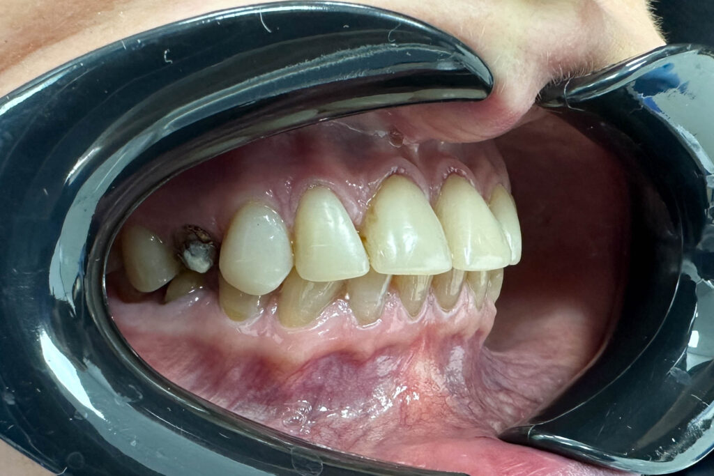
Процесс работы и результаты

Что было сделано:

Лечение начато с определения центрального соотношения челюстей, обсуждения дизайна будущей улыбки и создания макета.
Выбор пациента пал на реставрации Emax Press цвета A1 с натуральной анатомией, созданной вручную.
Произведена замена несостоятельных реставраций и пломб для избежания развития вторичного кариеса под винирами и коронками.
Сделано препарирование зубов на верхней и нижней челюстях с контролем глубины (0.7-0.8 мм) под керамические реставрации.
Установлены временные виниры и коронки из пластика. Спустя 20 дней были зафиксированы керамические виниры и коронки.

 

Стоимость: 6590 USD (цена указана ориентировочно по курсу НБРБ на день оплаты)

Реставрации Emax Press цвета A1 После
Реставрации Emax Press цвета A1 После
Реставрации Emax Press цвета A1 После
Реставрации Emax Press цвета A1 После

работы врача

больше примеров
Имплантация Megagen Anyone + установка керамических виниров и коронок
Имплантация
Имплантация Megagen Anyone и установка керамических виниров и коронок
Протезирование керамическими коронками Emax
Протезирование
Протезирование керамическими коронками Emax
Установка протеза с опорой на дентальные имплантаты Megagen Anyone
Имплантация
Установка протеза с опорой на имплантаты Megagen Anyone
запись в стоматологию в Бишкеке
запись на приём
Оставьте заявку на обратный звонок,
и мы свяжемся с вами в течение 10 минут
запись в стоматологию в Бишкеке
Ваше Имя
Поле является обязательным
Телефон
Поле является обязательным
уже проходили лечение в нашей стоматологии?
 стоматологическая клиника
Пожалуйста, оставьте отзыв о своих впечатлениях. Это очень важно для нас!
Оставить отзыв
Ваша обратная связь поможет нашим будущим пациентам определиться с выбором специалиста и метода лечения
Ваше Имя
Поле является обязательным
Телефон
Поле является обязательным
На сколько звёзд Вы оцениваете стоматологию?
Поле является обязательным
Ваш отзыв
Не более 500 символов
Поле является обязательным