пн-пт: 8:00-20:00
сб-вс: 09:00-20:00
г. Бишкек, Пр. Манаса 8 (пересекает ул. Боконбаева)

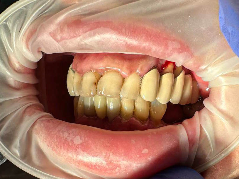
Ситуация до лечения

Пациент обратился с жалобами на эстетические недостатки.

пациент до имплантации
пациент до имплантации

Процесс работы

Что было сделано:

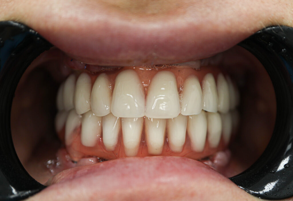
На верхней и нижней челюстях были удалены зубы, которые находились в неудовлетворительном состоянии, проведена комплексная имплантация,
на нижней челюсти установлены 4 классических имплантата NeoDent, на верхней — 2 классических и 3 скуловых имплантата NeoDent.
Спустя 6 дней на обеих челюстях зафиксированы металлоакриловые протезы.

процесс работы
Это фото может содержать тяжелый для восприятия контент
процесс работы
Это фото может содержать тяжелый для восприятия контент

Результаты

Стоимость всего комплекса:

Хирургическая часть: 10000 USD. Ортопедическая часть: 2870 USD (цена указана ориентировочно по курсу НБРБ на день оплаты)

Установка 6 классических имплантатов NeoDent и 3 скуловых имплантата
Установка 6 классических имплантатов NeoDent и 3 скуловых имплантата
Установка 6 классических имплантатов NeoDent и 3 скуловых имплантата
снимок

работы врача

больше примеров
5 имплантатов Megagen AnyOne
Имплантация
Тотальная работа на имплантатах с немедленной нагрузкой
Имплантация All on 6 MegaGen
Имплантация
Комплексная имплантация All-on-6 (Megagen AnyRidge)
Имплантация Megagen Anyone + установка керамических виниров и коронок
Имплантация
Имплантация Megagen Anyone и установка керамических виниров и коронок
запись в стоматологию в Бишкеке
запись на приём
Оставьте заявку на обратный звонок,
и мы свяжемся с вами в течение 10 минут
запись в стоматологию в Бишкеке
Ваше Имя
Поле является обязательным
Телефон
Поле является обязательным
уже проходили лечение в нашей стоматологии?
 стоматологическая клиника
Пожалуйста, оставьте отзыв о своих впечатлениях. Это очень важно для нас!
Оставить отзыв
Ваша обратная связь поможет нашим будущим пациентам определиться с выбором специалиста и метода лечения
Ваше Имя
Поле является обязательным
Телефон
Поле является обязательным
На сколько звёзд Вы оцениваете стоматологию?
Поле является обязательным
Ваш отзыв
Не более 500 символов
Поле является обязательным