пн-пт: 8:00-20:00
сб-вс: 09:00-20:00
г. Бишкек, Пр. Манаса 8 (пересекает ул. Боконбаева)

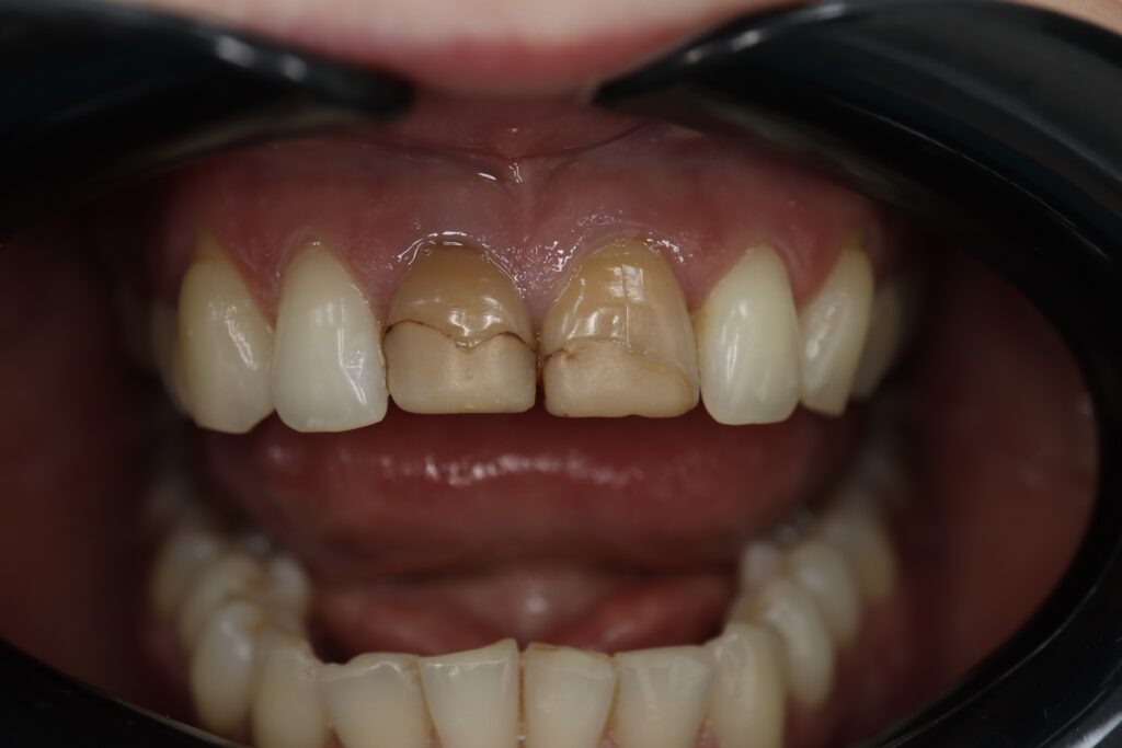
Ситуация до лечения

Жалобы: Пациент обратился с жалобами на эстетические недостатки центральных резцов.

Диагноз: дефект коронок зубов 1.1, 2.1

пациент до протезирования

Процесс работы и результат:

Процесс: зубы 1.1, 2.1 были подготовлены и отпрепарированы под циркониевые коронки. Сняты слепки. Пациентке установлены временные коронки на период изготовления постоянных коронок.

В зуботехнической лаборатории отлиты модели по слепкам. Модели отсканированы на 3D сканере для последующей цифровой моделировки будущих коронок.

После коронки были выфрезерованы, техник нанесла керамическую массу и воссоздала естественную анатомию центральных резцов, цвет А3.

 

Результат: На верхней челюсти спустя 10 дней зафиксированы 2 циркониевые коронки.

Стоимость: 560 USD (цена указана ориентировочно по курсу НБРБ на день оплаты)

Результат протезирования

работы врача

больше примеров
Протезирование мостом из диоксида циркония на винтовой фиксации с опорой на 2 имплантата Megagen AnyOne
Протезирование
Протезирование мостом из диоксида циркония на винтовой фиксации с опорой на 2 имплантата Megagen AnyOne
Протезирование коронками из диоксида циркония на своих зубах
Протезирование
Протезирование коронками из диоксида циркония на своих зубах
Мост из диоксида циркония на винтовой фиксации с опорой на 2 имплантата Mis Seven.
Протезирование
Мост из диоксида циркония на винтовой фиксации с опорой на 2 имплантата Mis Seven
Протезирование мостом из диоксида циркония на винтовой фиксации с опорой на 3 имплантата Mis C1
Протезирование
Протезирование мостом из диоксида циркония на винтовой фиксации с опорой на 3 имплантата Mis C1
запись в стоматологию в Бишкеке
запись на приём
Оставьте заявку на обратный звонок,
и мы свяжемся с вами в течение 10 минут
запись в стоматологию в Бишкеке
Ваше Имя
Поле является обязательным
Телефон
Поле является обязательным
уже проходили лечение в нашей стоматологии?
 стоматологическая клиника
Пожалуйста, оставьте отзыв о своих впечатлениях. Это очень важно для нас!
Оставить отзыв
Ваша обратная связь поможет нашим будущим пациентам определиться с выбором специалиста и метода лечения
Ваше Имя
Поле является обязательным
Телефон
Поле является обязательным
На сколько звёзд Вы оцениваете стоматологию?
Поле является обязательным
Ваш отзыв
Не более 500 символов
Поле является обязательным