пн-пт: 8:00-20:00
сб-вс: 09:00-20:00
г. Бишкек, Пр. Манаса 8 (пересекает ул. Боконбаева)

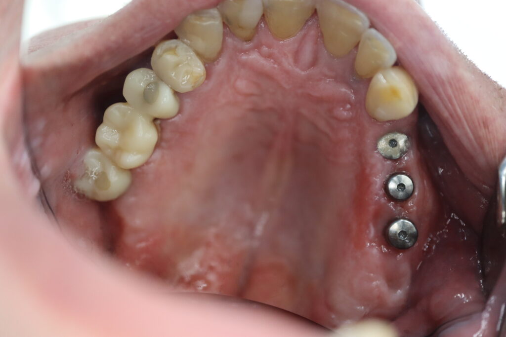
Ситуация до лечения

Пациент обратился с жалобами на эстетические и функциональные недостатки с целью протезирования на установленных ранее имплантатах.
Диагноз: Частичная вторичная адентия.

пациент до протезирования
пациент до протезирования

Процесс работы

Что было сделано:

Доктором были сняты оттиски на имплантатах при помощи трансферов для системы имплантатов Mis C1.

В зуботехничекой лаборатории отлиты слепки, установлены аналоги имплантатов. Слепки отсканированы на 3D сканере для последующей цифровой моделировки будущего моста.

После мост был выфрезерован, техник нанес керамическую массу и воссоздал естесственную анатомию жевательных зубов цвета А4.

процесс протезирования
процесс протезирования
процесс протезирования
процесс протезирования
процесс протезирования
процесс протезирования
процесс протезирования
процесс протезирования

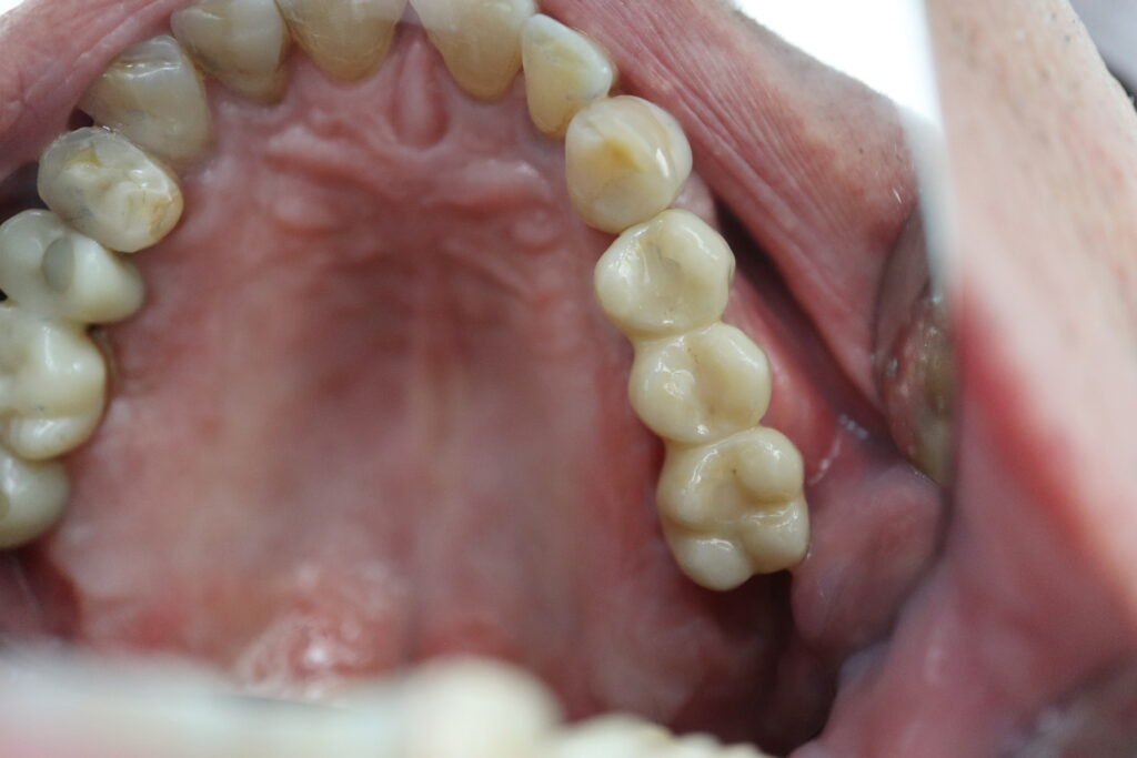
Результат

На верхней челюсти спустя 6 дней зафиксирован мост из диоксида циркония с винтовой фиксацией. Шахты закрыты композитным материалом.

Стоимость: 950 USD (цена указана ориентировочно по курсу НБРБ на день оплаты)

результат протезирования
результат протезирования
Имплантация Megagen Anyone + установка керамических виниров и коронок
Имплантация
Имплантация Megagen Anyone и установка керамических виниров и коронок
 установки временных металлоакриловых протезов
Протезирование
Протезы с опорой на 6-ти имплантатах из диоксида циркония на обе челюсти
запись в стоматологию в Бишкеке
запись на приём
Оставьте заявку на обратный звонок,
и мы свяжемся с вами в течение 10 минут
запись в стоматологию в Бишкеке
Ваше Имя
Поле является обязательным
Телефон
Поле является обязательным
уже проходили лечение в нашей стоматологии?
 стоматологическая клиника
Пожалуйста, оставьте отзыв о своих впечатлениях. Это очень важно для нас!
Оставить отзыв
Ваша обратная связь поможет нашим будущим пациентам определиться с выбором специалиста и метода лечения
Ваше Имя
Поле является обязательным
Телефон
Поле является обязательным
На сколько звёзд Вы оцениваете стоматологию?
Поле является обязательным
Ваш отзыв
Не более 500 символов
Поле является обязательным