пн-пт: 8:00-20:00
сб-вс: 09:00-20:00
г. Бишкек, Пр. Манаса 8 (пересекает ул. Боконбаева)

Процесс работы

Что было сделано:

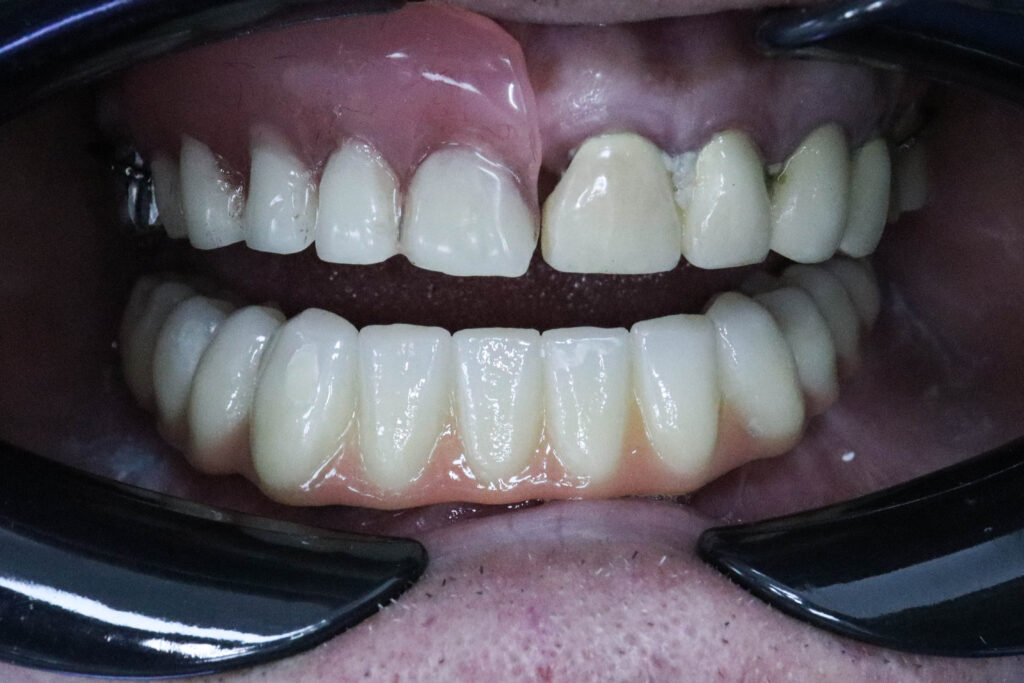
Пациент продолжает лечение спустя 6 месяцев после имплантации и установки временного металлоакрилового протеза с опорой на 6-ти дентальных имплантантах Megagen Anyone.
Диагноз: Полная адентия нижней челюсти.
Лечение начато с выбора материала для будущей конструкции (диоксид циркония на титановой балке) и цвета.
Был установлен временный протез из PMMA, максимально воссоздающий форму и цвет будущей конструкции.
Спустя 25 дней был зафиксирован протез с опопрой на дентальные имплантаты из диоксида циркония.

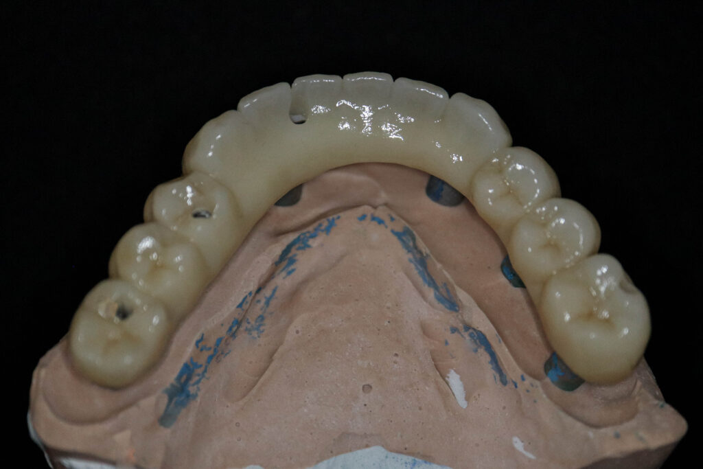
протезы перед установкой
протезы перед установкой
протезы перед установкой
протезы перед установкой
протезы перед установкой
протезы перед установкой

Результат

Стоимость всего комплекса: 3140 USD (цена указана ориентировочно по курсу НБРБ на день оплаты)

результат протезирования
результат протезирования
результат протезирования
результат протезирования

работы врача

больше примеров
6-ти дентальных имплантантах Megagen Anyone
Имплантация
Перепротезирование All-on-6 протезом из диоксида циркония
 установки временных металлоакриловых протезов
Протезирование
Протезы с опорой на 6-ти имплантатах из диоксида циркония на обе челюсти
5 имплантатов Megagen AnyOne
Имплантация
Тотальная работа на имплантатах с немедленной нагрузкой
запись в стоматологию в Бишкеке
запись на приём
Оставьте заявку на обратный звонок,
и мы свяжемся с вами в течение 10 минут
запись в стоматологию в Бишкеке
Ваше Имя
Поле является обязательным
Телефон
Поле является обязательным
уже проходили лечение в нашей стоматологии?
 стоматологическая клиника
Пожалуйста, оставьте отзыв о своих впечатлениях. Это очень важно для нас!
Оставить отзыв
Ваша обратная связь поможет нашим будущим пациентам определиться с выбором специалиста и метода лечения
Ваше Имя
Поле является обязательным
Телефон
Поле является обязательным
На сколько звёзд Вы оцениваете стоматологию?
Поле является обязательным
Ваш отзыв
Не более 500 символов
Поле является обязательным