пн-пт: 8:00-20:00
сб-вс: 09:00-20:00
г. Бишкек, Пр. Манаса 8 (пересекает ул. Боконбаева)

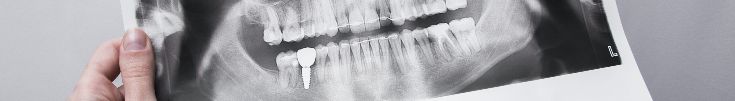
Виды рентгенодиагностики зубов

КЛКТ расшифровывается как конусно-лучевая компьютерная томография зубов. Это один из методов рентгеновской диагностики, который дает возможность получить трехмерное изображение зубочелюстной системы в разных проекциях.
3D томография зубов (КЛКТ)
Панорамный снимок зубов – рентгеновское исследование, позволяющее получать двухмерное изображение нижней и верхней челюсти.

Рентгенодиагностика зубов
Прицельный снимок зуба – это быстрый, современный метод диагностики полости рта. Рентген помогает врачу правильно ставить диагноз и назначать план лечения.
Прицельный снимок зуба

Виды рентгенодиагностики зубов и их отличия

Виды рентгенодиагностики зубов и их отличия

Существует несколько видов рентгенодиагностики:

  1. Панорамный снимок (ортопантомограмма, ОПТГ). Двухмерное изображение верхней и нижней челюсти. Развернутый снимок помогает оценить состояние ретинированного зуба, кисты, пломбы, нижнечелюстного состава, гайморовой пазухи. У врача появляется возможность составлять подробный план лечения, имплантации и протезирования. Разрешается проводить обследование в любом возрасте.
  2. Прицельный снимок. По изображению врач оценивает состояние 1-3 зубов, расположенных рядом. Снимок помогает определять, в каком состоянии находятся корневые каналы, дентин, десна и ткани кости.
  3. 3D-снимок (КЛКТ). Дает возможность получать трехмерную модель зубов или определенного участка челюстно-лицевой области. Врач может строить любое сечение, выполнять с точностью до миллиметра требуемое измерение. Это самый информативный метод, так как дает информацию о состоянии челюсти и зубов сразу в трех проекциях. В специальной программе можно точно измерить расстояние до пазухи, оценить плотность кости.

Вид рентген-исследования определяет врач в зависимости от требуемого стоматологического лечения.

Преимущества рентгенодиагностики

Преимущества рентгенодиагностики

Рентгенодиагностика – современный метод диагностики патологий зубного ряда. Снимки дают представления о состоянии зубных единиц, месторасположении заболевания, объеме костной ткани.

Цифровое изображение моментально выводится на монитор компьютера врача. Данные записывают на диск вместе с программой просмотра. Результаты выдают пациенту на руки.

В каких ситуациях могут назначать рентгенодиагностику зубов

В каких ситуациях могут назначать рентгенодиагностику зубов

На осмотре ротовой полости врач-стоматолог видит внешние повреждения. Когда необходимо узнать, что происходит в толще тканей, назначают аппаратные методы обследования.

К основным показаниям относят:

  • скрытый кариес;
  • различные травмы челюсти и зубных единиц;
  • проверку качественного прилегания нового протеза или коронки;
  • инфекционный процесс корневого канала при пульпите;
  • подозрение на нарушение в структуре височно-нижнечелюстных суставов;
  • патологическое образование в толще мягких тканей;
  • наличие фрагмента стоматологического инструмента или зубного отломка в области хирургического вмешательства.

Рентгенодиагностику зубов назначают при эндодонтическом и хирургическом лечении, для диагностики болезней челюстно-лицевой зоны, глубокого кариеса. Снимок помогает оценить состояние установленной и старой пломбы, выявить ретинированные и дистопированные зубы.

Противопоказания

Нельзя проводить исследование пациентам:

  • с прогрессирующей злокачественной опухолью и лучевой болезнью;
  • с открытым кровотечением;
  • острой травмой ротовой полости;
  • находящимся в бессознательном состоянии.

К относительному противопоказанию относят ранний срок беременности. Проходить обследование не рекомендуют до 5 месяцев беременности.

Как проводят процедуру

Как проводят процедуру

Любой вид рентгенодиагностики не требует предварительной подготовки. Пациенту не надо соблюдать диету. Достаточно перед процедурой снять украшения и предметы, содержащие металл.

Исследование проводится в специально оборудованном помещении. Пациент надевает свинцовый фартук, который защищает внутренние органы от облучения. Проведение процедуры зависит от применяемого вида диагностики и занимает максимум 5 минут.

Вредно ли делать рентгенодиагностику зубов

В стоматологии «Cимпладент» установлены современные рентген-аппараты, обладающие низким излучением. Благодаря минимальному уровню облучения, процедура полностью безопасна для здоровья человека и не имеет противопоказаний по возрасту.

Почему для рентгенодиагностики следует обращаться в стоматологию «Cимпладент»

За 10 лет успешной работы, в клинике «Cимпладент» сложился коллектив врачей-стоматологов, которые обладают высокими профессиональными навыками, стремятся помочь каждому пациенту, обеспечивают эффективное лечение в комфортных условиях за доступную стоимость.

В стоматологии установлено современное, качественное оборудование, которое помогает врачам добиваться нужного результата даже в самых сложных случаях. Мы работаем только с проверенными поставщиками, поэтому во время работы используем стоматологические материалы высокого качества.

Наши пациенты могут выбирать удобный способ оплаты: наличными, банковской картой, страховым полисом, картами рассрочки «Халва» или «Карта покупок».

Запишитесь на бесплатную консультацию в нашу клинику. Врачи проведут осмотр, подберут подходящий вид рентгенодиагностики и составят план лечения.

Рентген Цена, сом
Снимок КЛКТ с записью на диск

* Услуга оказывается только клиентам проходящим лечение в клинике
договорная
Снимок КЛКТ

* Услуга оказывается только клиентам проходящим лечение в клинике
договорная
Снимок панорамный 2D с распечаткой на бумаге

* Услуга оказывается только клиентам проходящим лечение в клинике
договорная

вопрос / ответ

Доверяйте ваше здоровье надёжной стоматологии

Техника восстановления объема кости подбирается врачом на основании результатов обследования и общей клинической картины.

Для нас важно ваше мнение. Хорошие и теплые слова будут воодушевлять и стимулировать нас к новым свершениям, а если вдруг Вам что-то не понравилось, нам важно это знать, что позволит нам стать лучше для вас.

Примеры работ

больше примеров
Имплантация All on 6 MegaGen
Имплантация
Комплексная имплантация All-on-6 (Megagen AnyRidge)
Имплантация Megagen Anyone + установка керамических виниров и коронок
Имплантация
Имплантация Megagen Anyone и установка керамических виниров и коронок

Сертификаты и лицензии

Свидетельство Cимпладент
Свидетельство Cимпладент
Свидетельство Cимпладент
Свидетельство Cимпладент
Свидетельство Cимпладент
Свидетельство Cимпладент
запись в стоматологию в Бишкеке
запись на приём
Оставьте заявку на обратный звонок,
и мы свяжемся с вами в течение 10 минут
запись в стоматологию в Бишкеке
Ваше Имя
Поле является обязательным
Телефон
Поле является обязательным