пн-пт: 8:00-20:00
сб-вс: 09:00-20:00
г. Бишкек, Пр. Манаса 8 (пересекает ул. Боконбаева)

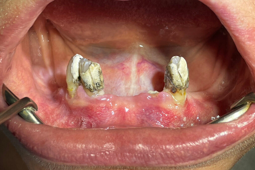
Ситуация до лечения

Жалобы: Пациент обратился к нам с целью изготовления съемных протезов после консультации в сторонней клинике.

Диагноз: Полная адентия верхней челюсти и частичная вторичная адентия нижней челюсти.

пациент до имплантации

Процесс работы

Что было сделано:

После проведенной консультации было принято решение об удалении зубов на нижней челюсти, которые находились в неудовлетворительном состоянии и проведении комплексной имплантации по системе All-on-4.

На верхней челюсти было принято решение изготовить съёмный акриловый протез.

После установки 4х имплантантов Megagen Anyone были сняты оттиски для изготовления металлоакрилового протеза на нижней челюсти и для съемного протеза на верхней.

Спустя 7 дней на нижней челюсти зафиксирован металлоакриловый протез из 12 зубов с опорой на 4 дентальных имплантата.

На верхнюю челюсть изготовлен съемный акриловый протез.

имплантация
Это фото может содержать тяжелый для восприятия контент

Результаты

Стоимость всего комплекса:

4000 USD (цена указана ориентировочно по курсу НБРБ на день оплаты)

результат
результат
результат
результат
результат
результат

работы врача

больше примеров
6-ти дентальных имплантантах Megagen Anyone
Имплантация
Перепротезирование All-on-6 протезом из диоксида циркония
Имплантация по системе All-on-6 + 6 имплантатов Megagen AnyOne
Имплантация
Имплантация по системе All-on-6 (Megagen AnyOne)
Имплантация по системе All-on-6 + имплантаты Megagen AnyOne
Имплантация
Имплантация по системе All-on-6 (имплантаты Megagen AnyOne)
запись в стоматологию в Бишкеке
запись на приём
Оставьте заявку на обратный звонок,
и мы свяжемся с вами в течение 10 минут
запись в стоматологию в Бишкеке
Ваше Имя
Поле является обязательным
Телефон
Поле является обязательным
уже проходили лечение в нашей стоматологии?
 стоматологическая клиника
Пожалуйста, оставьте отзыв о своих впечатлениях. Это очень важно для нас!
Оставить отзыв
Ваша обратная связь поможет нашим будущим пациентам определиться с выбором специалиста и метода лечения
Ваше Имя
Поле является обязательным
Телефон
Поле является обязательным
На сколько звёзд Вы оцениваете стоматологию?
Поле является обязательным
Ваш отзыв
Не более 500 символов
Поле является обязательным