пн-пт: 8:00-20:00
сб-вс: 09:00-20:00
г. Бишкек, Пр. Манаса 8 (пересекает ул. Боконбаева)

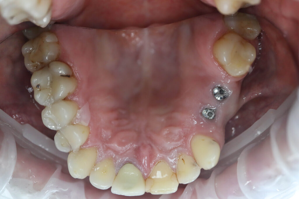
Ситуация до лечения

Пациент обратился с жалобами на эстетические недостатки.
Диагноз: Частичная адентия

Ситуация до лечения Бутримович
Ситуация до лечения Бутримович
Ситуация до лечения Бутримович
Ситуация до лечения Бутримович

Процесс работы

Что было сделано:

На верхней и нижней челюстях были установлены 6 имплантатов Megagen Anyone.
После приживления имплантатов пациент вернулся для обсуждения дизайна будущей улыбки и создания макета.
Выбор был сделан в пользу реставраций Emax Press цвета A1 с максимально натуралистичной анатомией, созданной вручную.
Произведено препарирование зубов на верхней и нижней челюстях с контролем глубины (0.7-0.8 мм) под керамические виниры и коронки.
Установлены временные виниры и коронки из пластика.
Спустя 17 дней установлены керамические виниры и коронки, а также коронки из диоксида циркония с опорой на дентальные имплантаты.

процесс имплантации
процесс имплантации
процесс имплантации

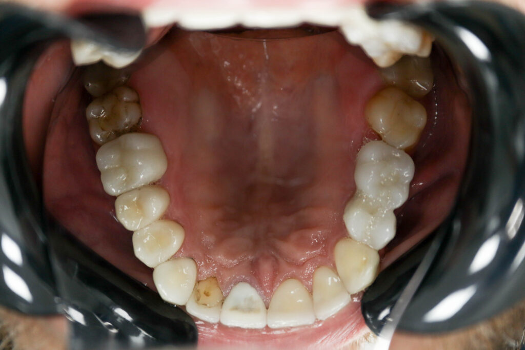
Результаты

Стоимость всего комплекса:

Стоимость импалнтации: 2430 USD (цена указана ориентировочно по курсу НБРБ на день оплаты)
Стоимость протезирования: 7470 USD (цена указана ориентировочно по курсу НБРБ на день оплаты)

Результат протезирования и имплантации
Результат протезирования и имплантации
Результат протезирования и имплантации
Результат протезирования и имплантации
Результат протезирования и имплантации
Результат протезирования и имплантации
Результат протезирования и имплантации
Результат протезирования и имплантации
Результат протезирования и имплантации
Результат протезирования и имплантации

работы врача

больше примеров
5 имплантатов Megagen AnyOne
Имплантация
Тотальная работа на имплантатах с немедленной нагрузкой
Имплантация All on 6 MegaGen
Имплантация
Комплексная имплантация All-on-6 (Megagen AnyRidge)
Установка протеза с опорой на дентальные имплантаты Megagen Anyone
Имплантация
Установка протеза с опорой на имплантаты Megagen Anyone
6-ти дентальных имплантантах Megagen Anyone
Имплантация
Перепротезирование All-on-6 протезом из диоксида циркония
запись в стоматологию в Бишкеке
запись на приём
Оставьте заявку на обратный звонок,
и мы свяжемся с вами в течение 10 минут
запись в стоматологию в Бишкеке
Ваше Имя
Поле является обязательным
Телефон
Поле является обязательным
уже проходили лечение в нашей стоматологии?
 стоматологическая клиника
Пожалуйста, оставьте отзыв о своих впечатлениях. Это очень важно для нас!
Оставить отзыв
Ваша обратная связь поможет нашим будущим пациентам определиться с выбором специалиста и метода лечения
Ваше Имя
Поле является обязательным
Телефон
Поле является обязательным
На сколько звёзд Вы оцениваете стоматологию?
Поле является обязательным
Ваш отзыв
Не более 500 символов
Поле является обязательным