пн-пт: 8:00-20:00
сб-вс: 09:00-20:00
г. Бишкек, Пр. Манаса 8 (пересекает ул. Боконбаева)

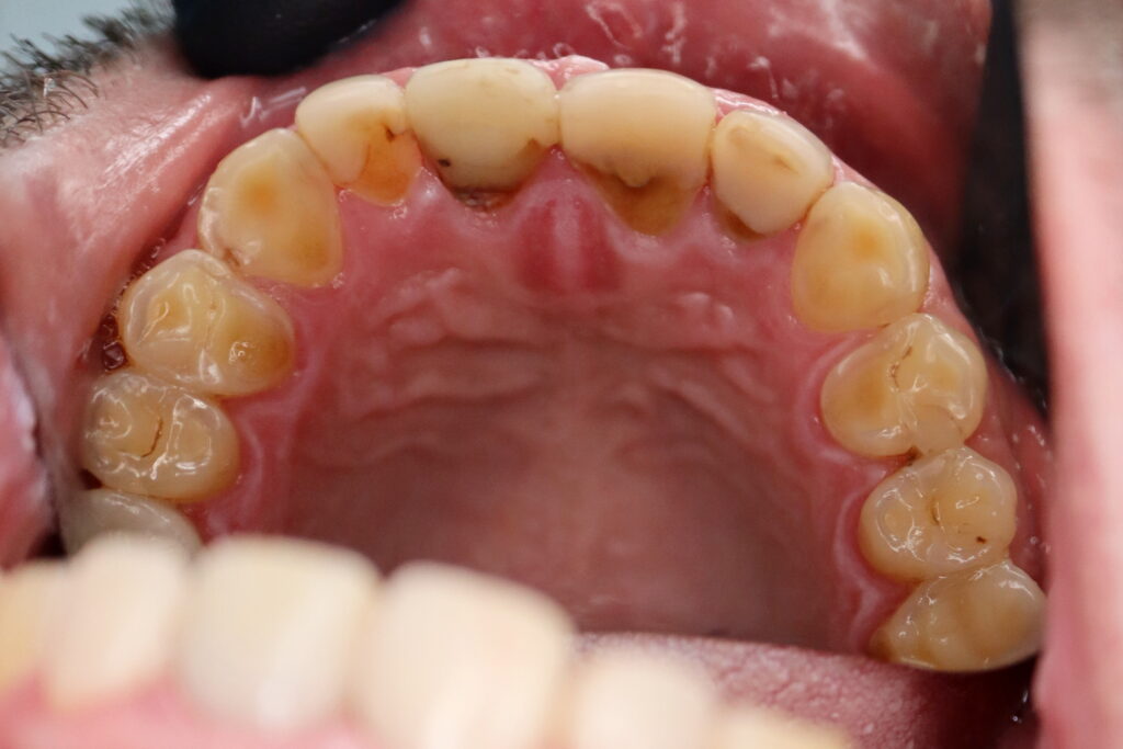
Ситуация до лечения

Диагноз: Радикулярная киста в области зуба 1.1

пациент до имплантации
пациент до имплантации

Процесс работы

Что было сделано:

Хирургом-имплантологом были проведены следующие манипуляции: удаление зуба 1.1, удаление кисты, аугментация твердых и мягких тканей в области 1.1
с применением свободного соединительнотканного трансплантата из слизистой оболочки бугра верхней челюсти, пластика уздечки верхней губы.
Установлен имплантат Straumann BLT и формирователь десны.

В этот же визит терапевтом был изготовлен адгезивный протез для устранения эстетического дефекта до момента остеоинтеграции имплантата.
Постоянная коронка будет установлена спустя 3 месяца.

удаление зуба
Это фото может содержать тяжелый для восприятия контент
удаление зуба
Это фото может содержать тяжелый для восприятия контент
удаление зуба
Удаленный зуб и киста
Это фото может содержать тяжелый для восприятия контент
удаление зуба
Это фото может содержать тяжелый для восприятия контент

Результаты

Стоимость всего комплекса: 870 USD (цена указана ориентировочно по курсу НБРБ на день оплаты)

Работа выполнена:
Хирург-импалнтолог высшей категории Белый Максим Григорьевич
Терапевт первой категории Недбайло Наталья Александровна

результат имплантации
результат имплантации
результат имплантации
Это фото может содержать тяжелый для восприятия контент
результат имплантации
Это фото может содержать тяжелый для восприятия контент

работы врача

больше примеров
Имплантация Megagen Anyone + установка керамических виниров и коронок
Имплантация
Имплантация Megagen Anyone и установка керамических виниров и коронок
Имплантация Straumann BLT и комплексное протезирование
Имплантация
Имплантация Straumann BLT и комплексное протезирование
Одномоментная имплантация Megagen
Имплантация
Одномоментная имплантация Megagen
Одномоментная имплантация Megagen AnyOne
Имплантация
Одномоментная имплантация Megagen AnyOne
Тотальная имплантация (Megagen Anyone)
Имплантация
Тотальная имплантация (Megagen Anyone)
запись в стоматологию в Бишкеке
запись на приём
Оставьте заявку на обратный звонок,
и мы свяжемся с вами в течение 10 минут
запись в стоматологию в Бишкеке
Ваше Имя
Поле является обязательным
Телефон
Поле является обязательным
уже проходили лечение в нашей стоматологии?
 стоматологическая клиника
Пожалуйста, оставьте отзыв о своих впечатлениях. Это очень важно для нас!
Оставить отзыв
Ваша обратная связь поможет нашим будущим пациентам определиться с выбором специалиста и метода лечения
Ваше Имя
Поле является обязательным
Телефон
Поле является обязательным
На сколько звёзд Вы оцениваете стоматологию?
Поле является обязательным
Ваш отзыв
Не более 500 символов
Поле является обязательным