пн-пт: 8:00-20:00
сб-вс: 09:00-20:00
г. Бишкек, Пр. Манаса 8 (пересекает ул. Боконбаева)

Ситуация до лечения

Жалобы: Пациент обратился с жалобами на эстетические и функциональные недостатки с целью протезирования. В зубах были обширные пломбы после эндодонтического лечения (лечение корневых каналов).

Диагноз: Дефект коронок зубов 3.5, 3.6.

пациент до протезирования

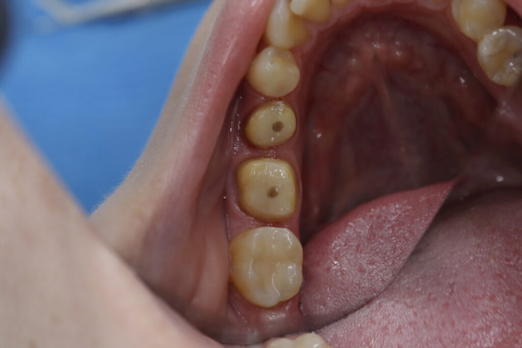
Результат

Процесс: После проведения рентгенологического контроля эндодонтического лечения культи зубов были восстановлены с помощью стекловолоконных штифтов. Произведена обработка зубов под циркониевые коронки и установлены временные коронки. В зуботехничекой лаборатории отлиты слепки. Слепки отсканированы на 3D сканере для последующей цифровой моделировки будущих коронок. После того, как коронки были выфрезерованы, техник нанес керамическую массу и воссоздал естественную анатомию жевательных зубов цвета В4.

 

После получения коронок из лаборатории, коронки были припасованы в полости рта, произведена оценка и согласование с пациентом формы и цвета конструкций. Далее – фиксация коронок на постоянный цемент.

 

Результат: На нижней челюсти спустя 10 дней зафиксированы коронки из диоксида циркония.

Стоимость: 530 USD (цена указана ориентировочно по курсу НБРБ на день оплаты)

результат протезирования

работы врача

больше примеров
Протезирование мостом из диоксида циркония на винтовой фиксации с опорой на 3 имплантата Mis C1
Протезирование
Протезирование мостом из диоксида циркония на винтовой фиксации с опорой на 3 имплантата Mis C1
Мост из диоксида циркония на винтовой фиксации с опорой на 2 имплантата Mis Seven.
Протезирование
Мост из диоксида циркония на винтовой фиксации с опорой на 2 имплантата Mis Seven
запись в стоматологию в Бишкеке
запись на приём
Оставьте заявку на обратный звонок,
и мы свяжемся с вами в течение 10 минут
запись в стоматологию в Бишкеке
Ваше Имя
Поле является обязательным
Телефон
Поле является обязательным
уже проходили лечение в нашей стоматологии?
 стоматологическая клиника
Пожалуйста, оставьте отзыв о своих впечатлениях. Это очень важно для нас!
Оставить отзыв
Ваша обратная связь поможет нашим будущим пациентам определиться с выбором специалиста и метода лечения
Ваше Имя
Поле является обязательным
Телефон
Поле является обязательным
На сколько звёзд Вы оцениваете стоматологию?
Поле является обязательным
Ваш отзыв
Не более 500 символов
Поле является обязательным