пн-пт: 8:00-20:00
сб-вс: 09:00-20:00
г. Бишкек, Пр. Манаса 8 (пересекает ул. Боконбаева)

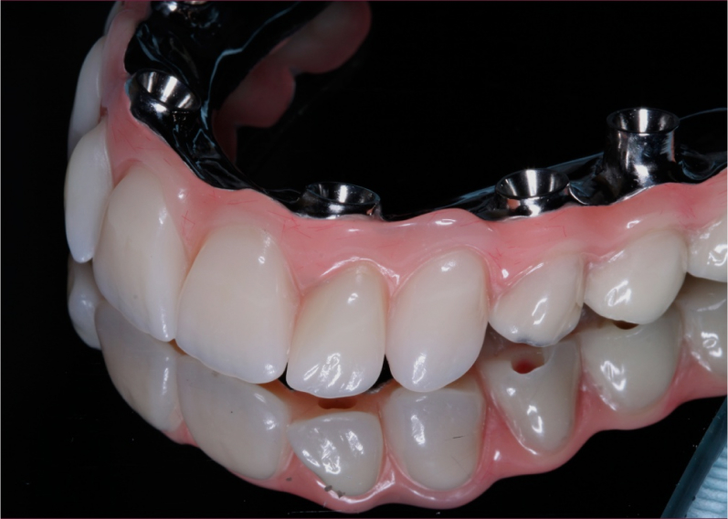
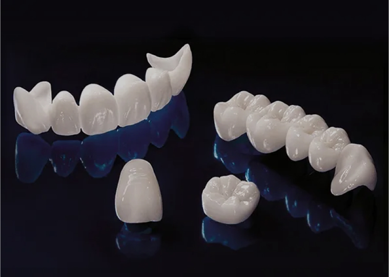
Какие виды протезов мы изготавливаем?

Лаборатория клиники «Cимпладент» производит следующие виды протезов
ALT
Условно-съёмные протезы с опорой на 4 или 6-ти имплантатах
ALT
Безметалловые керамические коронки и виниры

Материалы

ALT

В работе мы используем только сертифицированные материалы признанных мировых производителей:

  • Ivoclar Vivadent (Германия);
  • Dentsply (США);
  • Renfert CmbH (Германия) и др.

Работа проходит с соблюдением всех технологических и гигиенических требований.

Преимущества

собственной зуботехнической лаборатории
1
подробнее
контроль качества
контроль качества

Пациенты получают готовое изделие гораздо быстрее, благодаря возможности гибко реагировать на пожелания пациента и быстро корректировать и подгонять изделие после примерки.

2
подробнее
Сокращение временных затрат
Сокращение временных затрат

Пациенты получают готовое изделие гораздо быстрее, благодаря возможности гибко реагировать на пожелания пациента и быстро корректировать и подгонять изделие после примерки.

3
подробнее
Более выгодная стоимость протезов
Более выгодная стоимость протезов

Пациенты получают готовое изделие гораздо быстрее, благодаря возможности гибко реагировать на пожелания пациента и быстро корректировать и подгонять изделие после примерки.

4
подробнее
гарантия хорошего результата
гарантия хорошего результата

Пациенты получают готовое изделие гораздо быстрее, благодаря возможности гибко реагировать на пожелания пациента и быстро корректировать и подгонять изделие после примерки.

Фото лаборатории

Фото лаборатории
Фото лаборатории
Фото лаборатории
Фото лаборатории
Фото лаборатории
Фото лаборатории
Фото лаборатории

Зуботехнический цифровой сканер

которое мы используем в работе
1
Зуботехнический цифровой сканер
ALT
2
Зуботехнический микромотор
ALT
3
Зуботехнический артикулятор
ALT
4
Печь для обжига керамической массы
ALT

Наши техники

Над созданием стоматологических изделий трудятся 
4 квалифицированных зубных техника.
  • Гарипова-Мазур Наталья Николаевна
    Руководит зубными техниками и создает металлокерамические и безметалловые коронки.
    Гарипова-Мазур Наталья Николаевна
    Гарипова-Мазур Наталья Николаевна
    Руководит зубными техниками и создает металлокерамические и безметалловые коронки.
  • Агиевцев Кирилл Дмитриевич
    Специализируется на цифровом моделировании и создании безметалловых керамических и циркониевых коронок
    Агиевцев Кирилл Дмитриевич
    Агиевцев Кирилл Дмитриевич
    Специализируется на цифровом моделировании и создании безметалловых керамических и циркониевых коронок
  • Антончик Марта Андреевна
    Специализируется на создании съемных и временных условносъемных протезов All-on-4/6
    Антончик Марта
    Антончик Марта Андреевна
    Специализируется на создании съемных и временных условносъемных протезов All-on-4/6
  • Кухарчик Дана Витальевна
    Специализируется на цифровом моделировании и создании безметалловых керамических и циркониевых коронок
    Кухарчик Дана Витальевна
    Кухарчик Дана Витальевна
    Специализируется на цифровом моделировании и создании безметалловых керамических и циркониевых коронок

Вопрос / Ответ

Доверяйте ваше здоровье надёжной стоматологии

При наращивании кости установка имплантов может осуществляться сразу или после завершения восстановительного периода (спустя примерно полгода).

Цены на аугментацию могут варьироваться в зависимости от применяемой техники, остеопластического материала, формы и размеров оперируемой зоны.

Остались
вопросы?

частная стоматология Бишкек
Если Вы не нашли ответ на интересующий Вас вопрос, то отправьте его нам и мы свяжемся с Вами.
Вы также можете позвонить нам напрямую, чтобы обсудить срочные интересующие вас вопросы.
Задайте свой вопрос
Если вы не нашли ответ на интересующий вас вопрос, то отправьте его нам и мы свяжемся с вами в течение рабочего дня
Ваше Имя
Поле является обязательным
Телефон
Поле является обязательным
Ваш вопрос
Не более 500 символов
Поле является обязательным
запись в стоматологию в Бишкеке
запись на приём
Оставьте заявку на обратный звонок,
и мы свяжемся с вами в течение 10 минут
запись в стоматологию в Бишкеке
Ваше Имя
Поле является обязательным
Телефон
Поле является обязательным